REBEAUTY K-Beauty

클리닉/시술 검색
로그인 회원가입
  • 클리닉
    카테고리
    • 전체보기
    • 성형외과
    • 피부클리닉
    • 안과
    • 치과
    인기 시술
    • 지방흡입
    • 코성형
    • 눈성형
    • 안면윤곽
    • 가슴성형
  • 성형외과
  • 피부클리닉
  • 안과
  • 치과
  • 리뷰 REAL
  • 비포애프터
  • YouTube
  • 매거진 NEW
  • 이벤트 HOT
  • AI 시뮬레이션 AI
REBEAUTY K-Beauty
로그인 신규등록
가상 성형 시뮬레이션
성형 체험
클리닉
전체 성형외과 피부클리닉 안과 치과
콘텐츠
리뷰 B&A YouTube 매거진 이벤트
고객지원
자주묻는질문 공지사항 문의하기
소셜 로그인
  1. 홈
  2. 비포애프터
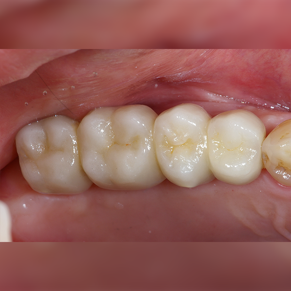
  3. Case.260 [영상] 30대 박*선 2010-10-07 / 2011-04-19
원데이치과의원
상악/어금니 부분 / 4개이상 / 뼈이식|수면|고혈압

Case.260 [영상] 30대 박*선 2010-10-07 / 2011-04-19

2026.02.15 | 98
After After
Before Before
Drag to compare
Before Before
After After
Before Before
After After
클리닉 정보
원데이치과의원 상세 보기
비포 애프터 목록으로 돌아가기
REBEAUTY K-Beauty
  • 회사명: 주식회사 뷰티어게인
  • 사업자등록번호: 706-88-03573
  • 주소: 서울특별시 구로구 디지털로34길 55, 코오롱싸이언스밸리2차 B201-161-7호 (08378)
  • 연락처: +82-10-7213-3785
  • 이메일: cs@rebeauty.co.kr
  • 영업시간: 평일 09:00 - 18:00 (KST)
고객 서비스
  • 공지사항
  • 자주묻는질문
  • 고객지원
  • 문의하기
  • 이용약관
  • 개인정보처리방침
팔로우
뉴스레터

K-뷰티 정보와 쿠폰을 받아보세요.

© 2026 REBEAUTY K-Beauty. All rights reserved.

한국어 지원 안전 예약 엄선 클리닉
현재 보고 있는 사람:
홈 검색 성형 체험 찜목록 메시지 마이
인기 키워드
성형외과 피부과 치과 보톡스 필러