REBEAUTY K-Beauty
클리닉/시술 검색
로그인
회원가입
클리닉
카테고리
전체보기
성형외과
피부클리닉
안과
치과
인기 시술
눈성형
지방흡입
코성형
가슴성형
안면윤곽
성형외과
피부클리닉
안과
치과
리뷰
REAL
비포애프터
YouTube
매거진
NEW
이벤트
HOT
AI 시뮬레이션
AI
REBEAUTY K-Beauty
로그인
신규등록
가상 성형 시뮬레이션
성형 체험
클리닉
전체
성형외과
피부클리닉
안과
치과
콘텐츠
리뷰
B&A
YouTube
매거진
이벤트
고객지원
자주묻는질문
공지사항
문의하기
소셜 로그인
비포 애프터
조회수순
최신순
시술 전후의 실제 변화를 확인하세요
전체 시술
#가슴 확대
#눈매교정
#눈매교정 #눈밑지방재배치
#눈밑지방재배치
#눈밑지방재배치 #뒤밑트임
#눈밑지방재배치 #얼굴지방이식
#뒤밑트임
#뒤밑트임 #눈밑지방재배치
#매부리코 교정 #복코교정 #콧볼 축소
#부분절개
#부분절개 #눈매교정
#부분절개 #눈매교정 #눈밑지방재배치
#부분절개 #눈매교정 #눈위지방이식
#부분절개 #눈매교정 #눈위지방제거
#부분절개 #눈매교정 #눈위지방제거 #눈밑지방재배치
#부분절개 #눈매교정 #눈위지방제거 #복코교정
#부분절개 #눈매교정 #눈위지방제거 #앞트임 #윗트임
#부분절개 #눈매교정 #눈위지방제거 #콧대(실리콘) #코끝(자가연골) #매부리코 교정
#부분절개 #눈매교정 #뒤밑트임
#부분절개 #눈매교정 #앞트임
#부분절개 #눈매교정 #앞트임 #윗트임
#부분절개 #눈매교정 #앞트임 #윗트임 #눈위지방제거
#부분절개 #눈매교정 #윗트임
#부분절개 #눈매교정 #윗트임 #눈위지방제거
#부분절개 #눈매교정 #윗트임 #앞트임
#부분절개 #눈매교정 #코재수술 #콧대(실리콘) #코끝(자가연골) #짧은코(들창코) 교정
#부분절개 #눈매교정 #콧대(실리콘) #코끝(자가연골)
#부분절개 #눈매교정 #콧대(실리콘) #코끝(자가연골) #복코교정
#부분절개 #눈매교정 #콧대(실리콘) #코끝(자가연골) #짧은코(들창코) 교정
#부분절개 #눈밑지방재배치
#부분절개 #눈위지방이식
#부분절개 #눈위지방제거
#부분절개 #눈위지방제거 #눈매교정
#부분절개 #눈위지방제거 #뒤밑트임
#부분절개 #눈위지방제거 #복코교정 #매부리코 교정 #콧대(실리콘) #코끝(자가연골)
#부분절개 #뒤밑트임
#부분절개 #뒤밑트임 #눈매교정
#부분절개 #뒤밑트임 #눈밑지방재배치
#부분절개 #무보형물코성형 #매부리코 교정 #코끝(자가연골)
#부분절개 #앞트임 #눈위지방제거
#부분절개 #앞트임 #눈위지방제거 #윗트임
#부분절개 #앞트임 #윗트임
#부분절개 #앞트임 #윗트임 #눈매교정 #눈위지방제거
#부분절개 #앞트임 #윗트임 #눈위지방제거
#부분절개 #앞트임 #윗트임 #눈위지방제거 #콧대(실리콘) #코끝(자가연골)
#부분절개 #앞트임 #윗트임 #눈위지방제거 #콧대(실리콘) #코끝(자가연골) #콧볼 축소
#부분절개 #앞트임 #윗트임 #콧대(실리콘) #코끝(자가연골) #매부리코 교정
#부분절개 #윗트임
#부분절개 #윗트임 #눈매교정
#부분절개 #윗트임 #눈매교정 #눈위지방제거
#부분절개 #윗트임 #눈밑지방재배치 #눈위지방이식
#부분절개 #윗트임 #눈위지방이식
#부분절개 #윗트임 #눈위지방제거
#부분절개 #윗트임 #눈위지방제거 #눈매교정
#부분절개 #윗트임 #눈위지방제거 #눈밑지방재배치
#부분절개 #윗트임 #눈위지방제거 #뒤밑트임
#부분절개 #윗트임 #눈위지방제거 #콧대(실리콘) #코끝(자가연골)
#부분절개 #윗트임 #눈위지방제거 #콧대(실리콘) #코끝(자가연골) #매부리코 교정
#부분절개 #윗트임 #뒤밑트임
#부분절개 #윗트임 #뒤밑트임 #눈위지방제거
#부분절개 #윗트임 #뒤밑트임 #눈위지방제거 #앞트임
#부분절개 #윗트임 #뒤밑트임 #눈위지방제거 #콧대(실리콘) #코끝(자가연골) #얼굴지방이식
#부분절개 #윗트임 #뒤밑트임 #유착풀기 #코재수술 #콧대(실리콘) #코끝(자가연골) #얼굴지방이식
#부분절개 #윗트임 #뒤밑트임 #코재수술 #콧대(실리콘)
#부분절개 #윗트임 #매부리코 교정
#부분절개 #윗트임 #복코교정
#부분절개 #윗트임 #앞트임
#부분절개 #윗트임 #앞트임 #눈위지방제거
#부분절개 #윗트임 #앞트임 #눈위지방제거 #눈매교정 #짧은코(들창코) 교정 #복코교정 #콧대(실리콘) #코끝(자가연골)
#부분절개 #윗트임 #앞트임 #콧대(실리콘) #코끝(자가연골)
#부분절개 #윗트임 #유착풀기
#부분절개 #윗트임 #코재수술 #콧대(실리콘) #코끝(자가연골)
#부분절개 #윗트임 #코재수술 #콧대(실리콘) #코끝(자가연골) #자가늑 코성형 #매부리코 교정
#부분절개 #윗트임 #콧대(실리콘) #코끝(자가연골)
#부분절개 #윗트임 #하안검
#비절개(매몰)
#비절개(매몰) #눈매교정
#비절개(매몰) #눈매교정 #콧대(실리콘) #코끝(자가연골)
#비절개(매몰) #눈밑지방재배치
#비절개(매몰) #눈위지방이식
#비절개(매몰) #뒤밑트임
#비절개(매몰) #뒤밑트임 #눈밑지방재배치
#비절개(매몰) #앞트임
#비절개(매몰) #윗트임
#비절개(매몰) #윗트임 #눈밑지방재배치
#비절개(매몰) #윗트임 #뒤밑트임
#비절개(매몰) #윗트임 #앞트임 #눈위지방제거
#상안검
#상안검 #눈위지방이식
#상안검 #윗트임
#상안검 #하안검
#상안검 #하안검 #눈위지방제거
#얼굴지방이식
#얼굴지방이식 #콧대(실리콘) #코끝(자가연골) #자가늑 코성형
#완전절개
#완전절개 #눈매교정
#완전절개 #눈매교정 #눈위지방이식
#완전절개 #눈매교정 #뒤밑트임
#완전절개 #눈매교정 #윗트임 #눈위지방제거 #눈밑지방재배치
#완전절개 #눈위지방이식
#완전절개 #눈위지방이식 #눈밑지방재배치
#완전절개 #눈위지방제거
#완전절개 #뒤밑트임 #눈위지방이식 #눈매교정
#완전절개 #윗트임
#완전절개 #윗트임 #눈매교정
#완전절개 #윗트임 #눈매교정 #눈위지방제거
#완전절개 #윗트임 #눈위지방이식
#완전절개 #윗트임 #눈위지방제거 #뒤밑트임 #눈밑지방재배치
#완전절개 #윗트임 #뒤밑트임
#완전절개 #윗트임 #앞트임 #콧대(실리콘) #코끝(자가연골) #매부리코 교정
#완전절개 #윗트임 #유착풀기
#윗트임
#윗트임 #눈위지방제거 #뒤밑트임 #상안검
#윗트임 #부분절개 #눈매교정 #눈위지방제거
#윗트임 #비절개(매몰)
#이마거상(엔도타인)
#이마거상(엔도타인) #뒤밑트임
#이마거상(엔도타인) #뒤밑트임 #눈밑지방재배치
#이마거상(엔도타인) #하안검
#콧대(실리콘) #코끝(자가연골)
#콧대(실리콘) #코끝(자가연골) #자가늑 코성형 #복코교정 #콧볼 축소
#콧대(실리콘) #코끝(자가연골) #콧볼 축소
#콧대(실리콘) #코끝(자가연골) #콧볼 축소 #복코교정
#콧볼 축소
#하안검
#하안검 #눈위지방이식
#하안검 #눈위지방이식 #얼굴지방이식
#하안검 #눈위지방제거
#하안검 #상안검
#하안검 #이마거상(엔도타인)
+ 디에이 지방이식
+ 미니리프팅 + 보톡스
+ 쉐이핑안면윤곽 + 윤곽3종
+ 쉐이핑안면윤곽[광대]
+ 쉐이핑안면윤곽[광대] + 아큐스컬프
+ 쉐이핑안면윤곽[광대+사각턱]
+ 쉐이핑안면윤곽[광대+앞턱]
+ 쉐이핑안면윤곽[사각+앞턱]
+ 쉐이핑안면윤곽[사각턱+앞턱]
+ 쉐이핑안면윤곽[윤곽3종]
+ 쉐이핑안면윤곽[윤곽3종] + 아큐스컬프
+ 쉐이핑안면윤곽[윤곽3종] + 풀페이스지방이식
+ 안면윤곽재수술 + 쉐이핑안면윤곽[광대]
+ 안면윤곽재수술 + 쉐이핑안면윤곽[광대+앞턱전진]
+ 이마 지방이식
+ 풀페이스지방이식
+ 풀페이스지방이식 + 보톡스 + 아큐스컬프
+디에이지방흡입
+쉐이핑 안면윤곽 +윤곽 3종
+윤곽리프팅(아큐) + 보형물안면윤곽
+화이트닝 프로그램
2종트임(뒤트임,밑트임)
2종트임(앞트임,밑트임)
2종트임(앞트임,윗트임),루프지방제거
3번째 자연유착 재수술
3종트임(앞트임,뒤트임,밑트임)
3종트임(윗트임,뒤트임,밑트임),눈밑지방재배치...
45도 앞윗트임, 밑트임
5번째 절개 재수술, 라인낮추기
DK by MD code
GL밑트임복원,눈썹거상술(한쪽),안검내반
GL밑트임복원,안검내반
GL밑트임복원,안검내반,GL언더트임(뒤트임,밑트임)...
GL밑트임복원,안검내반,눈밑지방재배치,밑트임...
GL밑트임복원,안검내반,뒤트임복원
GL언더트임(뒤트임,밑트임)
GL언더트임(뒤트임,밑트임),안검내반
No교정 스마일 셀피양악 + 앞턱
PCL리프팅, 입술필러
V턱선리프팅
V턱선리프팅+민트실리프팅
가슴 지방이식
가슴, 복부 지방흡입
가슴거상
가슴거상, 가슴축소술, 유륜축소
가슴거상술, 가슴확대술
가슴거상술, 가슴확대술, 부유방제거
가슴성형
가슴성형(보형물)
가슴재수술+멘토 가슴성형
가슴재수술+모티바 가슴성형
가슴축소
가슴축소, 가슴확대
가슴확대
가슴확대, 가슴거상
가슴확대, 유륜성형
가슴확대. 가슴거상
가슴확대술
가슴확대술(멘토엑스트라)(가슴밑절개), 울쎄라, 리쥬란힐러, 입술필러, 리프팅보톡스
개방형 코수술, 자가늑
골반필러
관자놀이 필러
광대
광대, 비너스레이저
광대, 사각턱, 앞턱, 피질절골
광대+사각턱
광대+사각턱+앞턱
광대+턱끝
광대축소
광대축소, 사각턱축소
광대축소, 사각턱축소, 턱끝축소
광대축소, 앞턱, 사각턱축소, 피질절골, 코(콧대,코끝), 휜코교정, 코뼈축소, 복코
광대축소, 턱끝축소, 피질절골, 눈재수술, 자여유착쌍꺼풀, 비절개눈매교정, 앞트임, 밑트임
광대축소+눈재수술+더블트임+코성형
광대축소+사각턱축소
광대축소+사각턱축소+눈재수술+코재수술
광대축소+사각턱축소+아큐스컬프
광대축소+사각턱축소+앞턱+아큐스컬프(턱선+이중턱)+코성형
광대축소+사각턱축소+코성형
광대축소+사각턱축소+터끝축소+윤곽재수술
광대축소+사각턱축소+턱끝+아큐스컬프+코재수술
광대축소+사각턱축소+턱끝+안면윤곽재수술
광대축소+사각턱축소+턱끝길이연장+지방이식
광대축소+사각턱축소+턱끝성형
광대축소+사각턱축소+턱끝성형(앞턱전진)+눈재수술+코성형
광대축소+사각턱축소+턱끝성형(턱끝길이축소)+코재수술
광대축소+사각턱축소+턱끝성형+교근축소
광대축소+사각턱축소+턱끝성형+교근축소+아큐스컬프+코성형
광대축소+사각턱축소+턱끝성형+눈성형
광대축소+사각턱축소+턱끝성형+아큐스컬프
광대축소+사각턱축소+턱끝성형+아큐스컬프(볼)
광대축소+사각턱축소+턱끝성형+아큐스컬프(이중턱)+코성형
광대축소+사각턱축소+턱끝성형+아큐스컬프(턱선,이중턱)+코성형
광대축소+사각턱축소+턱끝성형+아큐스컬프+코성형
광대축소+사각턱축소+턱끝성형+지방이식(앞볼,이마)+코성형
광대축소+사각턱축소+턱끝성형+코성형
광대축소+사각턱축소+턱끝성형+코재수술+지방이식(이마,앞볼)
광대축소+사각턱축소+턱끝성형대+돌출입
광대축소+사각턱축소+턱끝수술
광대축소+사각턱축소+턱끝축소
광대축소+사각턱축소+풀페이스지방이식+코성형
광대축소+아큐스컬프
광대축소+코성형+아큐스컬프
광대축소+코성형+아큐스컬프(턱선,이중턱)+지방이식(이마)
광대축소술
광대축소술, 긴곡선
광대축소술, 사각턱축소술
광대축소술, 사각턱축소술, 코재수술
광대축소술, 사각턱축소술, 턱끝전진술
광대축소술, 사각턱축소술, 턱끝전진술, 피질절골술, 융비술, 매부리교정, 콧볼축소
광대축소술, 사각턱축소술, 턱끝축소술
구축코 성형(콧대 진피이식)
기능코 성형, 복코, 매부리코, 긴코
기능코성형
기본코(콧대+코끝)
기본코성형
기본코성형+매부리코+복코성형
기본코성형+짧은코+복코교정+콧볼축소
기증늑연골, 복코, 하비갑개, 절골
기타
긴곡선사각턱
긴코
긴코, 복코, 비주교정, 절골, 매부리코, 콧볼축소
꺼진눈 교정(눈 위 지방이식)
남성모발이식 비절개 1500모
남성모발이식 비절개 2500모
남성모발이식 비절개 3000모
남성모발이식 비절개 3000모_정수리
남성모발이식 비절개, 라인컷 3500모
남성모발이식 절개 2000모
남성모발이식 절개 2500모
남성모발이식 절개 3000모
남성여유증
남성여유증 부유방
남성여유증 부유방 옆가슴지방흡입
남성여유증 부유방 유두축소
남성여유증 유두축소
남성헤어라인 1500모 / 2주 후
남성헤어라인 2000모 / 1개월 후
남성헤어라인 2500모 / 1개월 후
남성헤어라인 2500모 / 2주 후
남성헤어라인 3000모 / 1개월 후
남성헤어라인 3000모 / 2주 후
남성헤어라인 3500모 / 2주 후
남성헤어라인 비절개
남성헤어라인 비절개 2000모
남성헤어라인 비절개 2500모
남성헤어라인 정수리 2500모 / 2주 후
남자 쌍꺼풀 낮추기
남자 윤곽성형
남자 절개쌍꺼풀
남자눈성형 절개눈매교정+앞트임+뒤트임
남자눈성형 + 비절개눈매교정
남자눈성형 + 앞트임
남자눈성형 + 절개눈매교정
남자눈성형 눈매교정
남자눈성형 눈매교정+앞트임+뒷트임
남자눈성형 눈밑지방재배치
남자눈성형 눈썹하거상+뒤트임+밑트임
남자눈성형 눈썹하거상술
남자눈성형 눈재수술+절개+눈매교정+앞트임
남자눈성형 매몰
남자눈성형 매몰[재수술]+더블트임
남자눈성형 매몰+눈매교정
남자눈성형 매몰+눈매교정+앞트임
남자눈성형 매몰+눈매교정+앞트임+뒷트임
남자눈성형 매몰+눈썹거상
남자눈성형 매몰+눈썹거상술
남자눈성형 매몰+앞트임
남자눈성형 매몰눈매교정
남자눈성형 매몰눈매교정+더블트임
남자눈성형 매몰법
남자눈성형 매몰법 +눈매교정
남자눈성형 매몰법[재수술]+더블트임
남자눈성형 매몰법+눈매교정
남자눈성형 매몰법+눈매교정+듀얼트임
남자눈성형 매몰법+눈매교정+앞트임
남자눈성형 매몰법+눈매교정+앞트임+뒷트임
남자눈성형 매몰법+눈재수술
남자눈성형 부분절개눈매교정
남자눈성형 비절개 눈매교정+앞트임+눈밑지방재배치
남자눈성형 비절개눈매+앞트임+뒷트임+밑트임
남자눈성형 비절개눈매교정
남자눈성형 비절개눈매교정 재수술
남자눈성형 비절개눈매교정[재수술]+더블트임
남자눈성형 비절개눈매교정+눈밑지방재배치
남자눈성형 비절개눈매교정+뒤트임
남자눈성형 비절개눈매교정+뒤트임+밑트임
남자눈성형 비절개눈매교정+뒷트임
남자눈성형 비절개눈매교정+뒷트임+밑트임
남자눈성형 비절개눈매교정+앞트임
남자눈성형 비절개눈매교정+앞트임+더블트임
남자눈성형 비절개눈매교정+앞트임+뒤트임
남자눈성형 비절개눈매교정+앞트임+뒷트임
남자눈성형 비절개눈매교정+앞트임+뒷트임+밑트임
남자눈성형 앞트임
남자눈성형 절개 눈매교정+앞트임
남자눈성형 절개+눈매교정
남자눈성형 절개+눈매교정+눈밑지방재배치
남자눈성형 절개+눈매교정+앞트임
남자눈성형 절개눈매교정
남자눈성형 절개눈매교정+눈재수술
남자눈성형 절개눈매교정+뒤트임
남자눈성형 절개눈매교정+뒤트임+밑트임
남자눈성형 절개눈매교정+뒷트임+밑트임
남자눈성형 절개눈매교정+앞트임
남자눈성형 절개눈매교정+윗트임+뒤트임+밑트임
남자눈성형 절개눈매교정재수술+앞트임
남자눈성형 절개눈매재수술+앞트임복원
남자눈성형 절개법[재]+눈매교정+눈밑지방재배치
남자눈성형 절개법+눈매교정
남자눈성형 절개법+눈매교정+눈재수술
남자눈성형 절개법+눈매교정+앞트임
남자눈성형 절개법+눈매교정+트임
남자눈성형 절개법+눈매교정+트임성형
남자눈성형 절개법+눈재수술
남자눈성형 코성형
남자눈성형+비절개눈매교정
남자눈성형+절개눈매교정
남자눈성형+절개눈매교정+앞트임
남자돌출입교정+광대축소+턱끝수술+남자눈성형
남자성형
남자쌍꺼풀 낮추기
남자안면윤곽 쉐이핑안면윤곽[윤곽3종]
남자안면윤곽 광대
남자안면윤곽 광대+아큐리프팅+코 재수술+짧은코+보톡스
남자안면윤곽 광대축소+사각턱축소+턱끝축소
남자안면윤곽 긴곡선사각턱+앞턱전진술+엘라스티꿈+아큐스컬프
남자안면윤곽 긴곡선사각턱+터닝광대축소
남자안면윤곽 긴곡선사각턱+턱끝성형
남자안면윤곽 긴곡선사각턱수술
남자안면윤곽 사각턱+광대
남자안면윤곽 사각턱축소+광대축소+턱끝성형(윤곽3종)
남자안면윤곽 사각턱축소+턱끝성형
남자안면윤곽 쉐이핑 안면윤곽+터닝광대축소+앞턱전진
남자안면윤곽 쉐이핑안면윤곽
남자안면윤곽 쉐이핑안면윤곽[광대]
남자안면윤곽 쉐이핑안면윤곽[광대+사각턱]
남자안면윤곽 쉐이핑안면윤곽[광대+사각턱+앞턱전진]+남자코성형
남자안면윤곽 쉐이핑안면윤곽[사각턱]
남자안면윤곽 쉐이핑안면윤곽[사각턱+광대]
남자안면윤곽 쉐이핑안면윤곽[사각턱+앞턱]
남자안면윤곽 쉐이핑안면윤곽[앞턱]
남자안면윤곽 쉐이핑안면윤곽[앞턱+V절골]
남자안면윤곽 쉐이핑안면윤곽[윤곽3종]
남자안면윤곽 쉐이핑안면윤곽[윤곽3종]+교근축소술
남자안면윤곽 쉐이핑안면윤곽+남자코성형
남자안면윤곽 쉐이핑안면윤곽+눈성형
남자안면윤곽 쉐이핑안면윤곽+눈성형+코성형
남자안면윤곽 쉐이핑안면윤곽+눈성형+코성형+이마성형
남자안면윤곽 쉐이핑안면윤곽+사각턱
남자안면윤곽 쉐이핑안면윤곽+아큐스컬프
남자안면윤곽 쉐이핑안면윤곽+앞턱전진술
남자안면윤곽 쉐이핑안면윤곽+터닝광대축소
남자안면윤곽 쉐이핑안면윤곽+턱끝
남자안면윤곽 아큐스컬프+턱보톡스
남자안면윤곽 앞턱전진술
남자안면윤곽 윤곽2종[쉐이핑V라인+턱끝길이연장]
남자안면윤곽 윤곽3종
남자안면윤곽 터닝광대축소
남자안면윤곽+쉐이핑안면윤곽[사각턱+광대]
남자양악수술 스마일양악+쉐이핑안면윤곽
남자양악수술 스마일양악수술
남자양악수술 스마일양악수술+터닝광대축소+남자코성형+이마성형
남자양악수술+남자눈성형
남자양악수술+남자눈성형+남자코성형
남자여유증 부유방 옆가슴지방흡입
남자윤곽3종+남자눈성형
남자코성형
남자코성형 긴코+넓은콧대
남자코성형 낮은코
남자코성형 낮은코+긴코/화살코+넓은콧대
남자코성형 낮은코+매부리코
남자코성형 낮은코+매부리코+복코
남자코성형 낮은코+매부리코+코끝성형+콧볼수술
남자코성형 낮은코+매부리코+콧볼축소
남자코성형 낮은코+메부리코
남자코성형 낮은코+메부리코+복코+코끝성형
남자코성형 낮은코+복코
남자코성형 낮은코+복코+짧은코+콧볼축소
남자코성형 낮은코+복코+휜코
남자코성형 낮은코+짧은코
남자코성형 낮은코+짧은코+매부리코
남자코성형 낮은코+코재수술
남자코성형 낮은코+휜코+코끝성형
남자코성형 낮은콧대
남자코성형 넓은코+매부리코
남자코성형 넓은콧대
남자코성형 넓은콧대+매부리코
남자코성형 넓은콧대+복코
남자코성형 넓은콧대+비염미용코성형
남자코성형 넓은콧대+콧볼수술
남자코성형 넓은콧대+콧볼축소술
남자코성형 매부리
남자코성형 매부리 절골
남자코성형 매부리코
남자코성형 매부리코+ 넓은콧대
남자코성형 매부리코+긴코
남자코성형 매부리코+긴코+넓은콧대
남자코성형 매부리코+넓은콧대
남자코성형 매부리코+넓은콧대+휜코
남자코성형 매부리코+복코
남자코성형 매부리코+복코+넓은콧대
남자코성형 매부리코+복코+짧은코
남자코성형 매부리코+복코교정
남자코성형 매부리코+복코교정+비염미용코
남자코성형 매부리코+복코교정+짧은코교정
남자코성형 매부리코+비염미용코
남자코성형 매부리코+콧볼축소
남자코성형 매부리코+화살코+휜코
남자코성형 매부리코+휜코
남자코성형 매부리코+휜코+긴코
남자코성형 매부리코+휜코+넓은코
남자코성형 매부리코+휜코+넓은콧대
남자코성형 매부리코+휜코+복코+넓은 콧대
남자코성형 복코
남자코성형 복코 절골
남자코성형 복코+넓은콧대
남자코성형 복코+넓은콧대+콧볼수술+비염미용코성형
남자코성형 복코+비염미용코
남자코성형 복코+비염미용코성형
남자코성형 복코+짧은코
남자코성형 복코+짧은코+콧볼축소술
남자코성형 복코+코끝
남자코성형 복코+콧대
남자코성형 복코+콧볼축소
남자코성형 복코+콧볼축소+짧은코
남자코성형 복코+콧볼축소술
남자코성형 복코+휜코
남자코성형 복코+휜코+넓은콧대
남자코성형 복코교정
남자코성형 복코교정+짧은코교정
남자코성형 복코수술
남자코성형 비염+절골
남자코성형 비염미용코
남자코성형 비염미용코 절골
남자코성형 비염미용코+짧은코교정
남자코성형 비염미용코성형
남자코성형 비염코성형+짧은코교정
남자코성형 자가연골코성형
남자코성형 절골
남자코성형 절골 매부리
남자코성형 절골 매부리 콧볼축소
남자코성형 절골 복코
남자코성형 절골 복코 귀연골
남자코성형 절골 복코 짧은코
남자코성형 절골 비염코성형 기증늑연골
남자코성형 절골 짧은코 콧볼축소 비주올리기 비염미용코
남자코성형 절골 휜코
남자코성형 절골+복코
남자코성형 짧은코
남자코성형 짧은코 넓은콧대 비염미용코성형
남자코성형 짧은코 휜코
남자코성형 짧은코/들창코+휜코
남자코성형 짧은코+넓은콧대
남자코성형 짧은코+넓은콧대+코재수술
남자코성형 짧은코+복코
남자코성형 짧은코+복코+코재수술
남자코성형 짧은코+코재수술
남자코성형 짧은코+콧볼축소
남자코성형 짧은코교정+복코교정+매부리코
남자코성형 짧은코교정+복코교정+콧볼축소
남자코성형 코끝
남자코성형 코끝성형 콧볼축소
남자코성형 코끝성형+콧볼축소
남자코성형 코끝조각술
남자코성형 코끝조각술+복코
남자코성형 코재수술
남자코성형 코재수술 기증늑연골
남자코성형 코재수술 매부리 복코교정
남자코성형 코재수술 복코 짧은코
남자코성형 코재수술 짧은코 복코
남자코성형 코재수술 짧은코 콧볼축소
남자코성형 코재수술 휜코
남자코성형 코재수술 휜코 기증늑연골
남자코성형 코재수술+복코+짧은코
남자코성형 코재수술+비염미용코성형
남자코성형 코재수술+짧은코
남자코성형 코재수술+짧은코+콧볼축소술+비염미용코성형
남자코성형 코재수술+콧볼축소+휜코교정
남자코성형 코재수술+휜코
남자코성형 코재수술+휜코교정
남자코성형 콧대+콧볼축소술
남자코성형 콧볼축소
남자코성형 콧볼축소 넓은콧대 비염미용코성형
남자코성형 콧볼축소+넓은콧대
남자코성형 콧볼축소+넓은콧대+비염미용코
남자코성형 콧볼축소술
남자코성형 휜코
남자코성형 휜코 매부리
남자코성형 휜코 코끝조각술
남자코성형 휜코+넓은콧대
남자코성형 휜코+매부리코
남자코성형 휜코+재수술
남자코성형 휜코+짧은코
남자코성형 휜코+코재수술
남자코성형 휜코교정+매부리코
남자헤어라인 1500모 / 1개월 후
내시경 이마 리프팅
내시경 이마리프팅
내시경이마리프팅
내트렐 물방울 가슴성형(재수술)
노교정 스마일 셀피 양악+윤곽3종+비절개눈매교정+코성형+미니 리프팅
눈 위 지방이식(재_꺼진 눈 교정)
눈두덩이 지방이식
눈두덩이지방이식
눈두덩이지방이식, 눈썹올림술
눈매교정
눈매교정(부분절개)
눈매교정(부분절개), 앞트임
눈매교정(부분절개), 앞트임, 눈지방제거
눈매교정(부분절개), 앞트임, 뒤트임, 밑트임
눈매교정(부분절개), 앞트임, 코(콧대, 코끝), 짧은코, 기증늑연골
눈매교정(부분절개), 지방제거, 앞트임
눈매교정(부분절개)(지방제거), 앞트임
눈매교정(부분절개)재수술, 코(콧대,코끝)재수술, 복코, 광대, 지방이식(이마, 코)
눈매교정(비절개)
눈매교정(비절개), 눈밑지방재배치
눈매교정(비절개), 눈밑지방재배치, 지방이식(눈밑)
눈매교정(비절개), 뒤트임
눈매교정(비절개), 뒤트임, 밑트임
눈매교정(비절개), 밑트임
눈매교정(비절개), 밑트임, 뒤트임
눈매교정(비절개), 앞트임
눈매교정(비절개), 앞트임, 눈밑지방재배치
눈매교정(비절개), 앞트임, 뒤트임
눈매교정(비절개), 앞트임, 뒤트임, 밑트임
눈매교정(비절개), 앞트임, 코(콧대, 코끝), 매부리, 절골, 사각턱, 광대, 앞턱
눈매교정(비절개), 앞트임, 휜코, 절골
눈매교정(비절개), 이마거상(엔도타인)
눈매교정(비절개), 지방제거
눈매교정(비절개), 코(콧대, 코끝)재수술, 비너스레이저
눈매교정(비절개)재수술
눈매교정(비절개)재수술, 뒤트임재수술, 밑트임
눈매교정(비절개)재수술, 앞트임재수술
눈매교정(비절개)재수술, 지방이식(눈위)
눈매교정(절개)
눈매교정(절개), 뒤트임
눈매교정(절개), 뒤트임, 눈밑지방재배치
눈매교정(절개), 뒤트임, 밑트임
눈매교정(절개), 뒤트임, 밑트임, 눈밑지방재배치
눈매교정(절개), 뒤트임, 밑트임, 코(콧대, 코끝)재수술, 코뼈축소, 콧볼축소, 사각턱, 광대, 앞턱, 피질절골, 귀족보형물, 풀페이스지방이식, 비너스레이저(볼, 턱밑)
눈매교정(절개), 쌍꺼풀라인낮추기
눈매교정(절개), 앞트임
눈매교정(절개), 앞트임, 뒤트임
눈매교정(절개), 앞트임, 뒤트임, 밑트임
눈매교정(절개), 앞트임, 뒤트임, 밑트임, 눈밑지방재배치, 코(콧대, 코끝), 사각턱, 광대, 앞턱, 양악, 돌출입, 풀페이스지방이식, 비너스레이저(볼, 턱밑)
눈매교정(절개), 앞트임,이마거상(실고정)
눈매교정(절개), 앞트임복원, 뒤트임, 밑트임
눈매교정(절개), 앞트임재수술, 뒤트임, 광대, 사각턱, 앞턱, 지방이식, 풀페이스지방이식, 비너스레이저(턱밑)
눈매교정(절개), 이마거상(실고정)
눈매교정(절개),앞트임,밑트임,뒤트임
눈매교정(절개)재수술
눈매교정(절개)재수술, 뒤트임, 밑트임
눈매교정(절개)재수술, 뒤트임, 밑트임, 코(콧대, 코끝), 매부리, 귀연골, 광대, 풀페이스지방이식
눈매교정(절개)재수술, 앞트임
눈매교정(절개)재수술, 앞트임, 뒤트임, 코(콧대, 코끝), 콧볼축소, 광대, 앞턱, 양악, 실리프팅, 비너스레이저(볼, 턱밑), 지방이식(앞볼, 이마), 보톡스(미간, 이마)
눈밑지방이식
눈밑지방재배치
눈밑지방재배치 , 비절개눈매교정
눈밑지방재배치 눈밑지방이식
눈밑지방재배치 자연유착
눈밑지방재배치 재수술
눈밑지방재배치 재수술, 앞광대 지방이식
눈밑지방재배치, 광대축소술, 턱끝축소술, 피질절골술
눈밑지방재배치, 눈밑지방이식
눈밑지방재배치, 듀얼하안검
눈밑지방재배치, 듀얼하안검, 앞광대 지방이식
눈밑지방재배치, 듀얼하안검, 앞광대 지방이식, 눈위 지방이식
눈밑지방재배치, 사각턱, 광대, 앞턱, 피질절골, 비너스레이저
눈밑지방재배치, 앞광대 지방이식
눈밑지방재배치, 앞광대지방이식
눈밑지방재배치, 앞광대지방이식, 미니 하안검
눈밑지방재배치, 앞트임 복원
눈밑지방재배치, 얼굴지방이식(풀페이스)
눈밑지방재배치, 자연유착, 윗트임,
눈밑지방재배치, 절개쌍꺼풀, 눈썹거상술
눈밑지방재배치, 지방이식
눈밑지방재배치, 지방이식(눈밑,앞볼)
눈밑지방재배치, 지방이식(눈밑)
눈밑지방재배치,눈썹거상술
눈밑지방재배치,지방이식(앞볼,팔자)
눈밑지방제거
눈밑지방제거, 듀얼하안검, 앞광대지방이식, 눈두덩이지방이식
눈밑지방제거(TCA)
눈밑지방제거(TCA)+눈밑지방재배치
눈성형
눈성형[자연유착]
눈성형[하안검플러스+외안각고정술]
눈성형+눈밑지방제거
눈성형+상안검
눈성형+상안검수술
눈성형+하안검
눈성형+하안검수술
눈썸올림술, 눈두덩이지방이식
눈썹거상
눈썹거상, 듀얼하안검, 눈밑지방이식
눈썹거상술
눈썹거상술, 눈밑지방재배치
눈썹거상술, 자연유착, 눈꺼풀 지방제거
눈썹거상술, 중안면거상
눈썹리프팅
눈썹밑거상
눈썹밑거상, 지방이식(눈밑)
눈썹밑거상, 하안검, 이마거상(실고정), 보톡스(이마, 눈가)
눈썹밑거상,눈매교정(비절개),눈밑지방재배치
눈썹올림술
눈썹하거상
눈썹하거상,상안검,하안검,지방이식(눈밑,앞광대)
눈썹하거상+눈밑지
눈썹하거상+매몰
눈썹하거상+매몰법
눈썹하거상+하안검
눈썹하거상술
눈썹하거상술, 눈밑지방재배치, 이마거상
눈썹하거상술, 이마거상, 눈밑지방재배치
눈썹하거상술, 이마거상, 자연유착
눈썹하거상술, 하안검, 자연유착 눈매교정 재수술
눈썹하거상술+하안검
눈위지방이식
눈위지방이식, 뒤밑트임
눈재구술, 절개쌍꺼풀
눈재수술 + 매몰 + 뒷트임
눈재수술 + 절개법 + 뒷트임 + 밑트임
눈재수술 눈매교정
눈재수술 눈매교정 절개
눈재수술 쌍꺼풀-절개, 뒤트임
눈재수술 자연유착 쌍꺼풀
눈재수술 자연유착 앞트임 밑트임
눈재수술 절개 쌍꺼풀
눈재수술 절개 쌍꺼풀, 듀얼트임
눈재수술, 뒤트임, 밑트임
눈재수술, 밑트임
눈재수술, 상안검
눈재수술, 자연유착
눈재수술, 자연유착 쌍꺼풀
눈재수술, 자연유착 쌍꺼풀, 비절개 눈매교정, 앞트임복원
눈재수술, 자연유착쌍꺼풀
눈재수술, 절개상꺼풀, 절개눈매교정
눈재수술, 절개쌍거풀, 윗트임
눈재수술, 절개쌍꺼풀
눈재수술, 절개쌍꺼풀, 뒤트임, 앞트임, 밑트임
눈재수술, 절개쌍꺼풀, 절개눈매교정
눈재수술, 절개쌍꺼풀, 절개눈매교정, 뒤트임, 밑트임
눈재수술, 절개쌍꺼풀, 절개눈매교정, 앞트임
눈재수술, 절개쌍꺼풀, 절개눈매교정, 앞트임, 뒤트임, 밑트임
눈재수술(뒷트임 복원)
눈재수술(자연유착)
눈재수술(절개 쌍꺼풀), 눈매교정, 밑트임, 눈위지방이식, 눈밑지방이식, 눈밑지방재배치
눈재수술(절개 쌍꺼풀), 눈밑지방재배치
눈재수술(절개법), 라인낮추기, 뒤트임, 밑트임
더모톡신 V라인
더블트임+상안검 재수술
돌출입코, 기능코 성형, 복코, 휜코, 긴코, 용코
동안&리프팅
뒤트임
뒤트임 복원
뒤트임, 밑트임
뒤트임, 앞트임
뒤트임+밑트임
뒤트임복원,앞트임(재수술)
뒷밑트임
뒷트임
뒷트임 + 밑트임
듀얼트임, 얼굴 리프팅, 눈두덩이 지방이식, 팔자 지방이식
듀얼하안검
디에이 가슴성형
디에이 가슴성형 재수술
디에이 리프팅
디에이 윤곽 3종 + 눈성형 + 코성형 + 지방이식
디에이 지방흡입
디에이지방흡입 + 복부성형
디에이지방흡입[복부]
라운드 가슴성형
라이콜 필러 쁘띠양악
레디어스
레디어스(팔자주름+옆볼채움)
리쥬란힐러
리쥬란힐러 4cc
리포소닉 히트슬림
리포소닉히트슬림
리프팅
맞춤 보형물 코성형
맞춤 보형물 코성형, 매부리코교정
매몰
매몰 쌍꺼풀, 앞트임, 비절개 눈매교정
매몰, 윗트임
매몰,3종트임(앞트임,뒤트임,밑트임),눈밑지방재배치...
매몰,4종트임(앞트임,윗트임,뒤트임,밑트임),안검내반...
매몰,GL언더트임(뒤트임,밑트임)
매몰,GL언더트임(뒤트임,밑트임),눈밑지방재배치...
매몰,눈매교정
매몰,눈매교정,2종트임(앞트임,눈매교정)
매몰,눈매교정,2종트임(앞트임,윗트임)
매몰,눈매교정,2종트임(앞트임,윗트임),루프지방제거...
매몰,눈매교정,3종트임(앞트임,뒤트임,밑트임)...
매몰,눈매교정,루프지방제거
매몰,눈매교정,안검내반,절개연장,루프지방제거...
매몰,눈매교정,앞트임
매몰,눈매교정,앞트임,안검내반,루프지방제거...
매몰,눈매교정,앞트임축교정
매몰,눈매교정,왼쪽앞트임
매몰,눈매교정,윗트임
매몰,눈매교정,윗트임,루프지방제거
매몰,루프지방제거
매몰,앞트임
매몰,앞트임,코,실리콘,코끝(비중격),휜코교정...
매몰,앞트임(축교정)
매몰,윗트임
매몰,지방이식(앞광대)
매몰(눈매교정),앞트임
매몰(재수술),눈매교정
매몰(재수술),눈매교정,루프지방제거
매몰(재수술),눈매교정,밑트임,뒤트임복원
매몰(재수술),눈매교정,윗트임
매몰(재수술),앞트임,눈밑지방재배치,루프지방제거...
매몰(재수술),윗트임
매몰+눈썹하거상+하안검
매몰+앞트임+뒤트임+밑트임
매몰+앞트임+뒷트임+밑트임
매몰법 + 앞트임
매몰법+눈썹하거상
매몰법+뒤트임+밑트임
매몰법+앞트임+뒤트임+밑트임
매몰법+윗트임
매몰법+윗트임+뒤밑트임
매몰법+하안검
매몰재수술+윗트임+뒤트임+밑트임
매부리코
매부리코 복코교정 비염미용코
매부리코, 복코
매부리코, 복코, 휜코
매부리코, 비순각 교정
매부리코+복코교정
매부리코+휜코교정
매부리코교정
맥스리프팅(안면거상술)
맥스리프팅(안면거상술)+비너스레이저
맥스리프팅(안면거상술)+상안검+하안검+지방이식
맥스리프팅(안면거상술)+지방이식
맥스리프팅(안면거상술)+지방이식+보톡스
맥스리프팅(안면거상술)+지방이식+상안검+하안검+눈밑지방재배치
멘토 가슴성형
멘토 가슴성형+부유방 제거
멘토스무스_1개월차
멘토스무스_2개월차
멘토스무스_3개월차
멘토스무스_6개월차
멘토스무스_가슴재건_6개월차
멘토스무스_구형구축_1개월차
멘토엑스트라_1년차
멘토엑스트라_2개월차
멘토엑스트라_9개월차
멘토엑스트라_모양불만족_5개월차
멘토엑스트라_텍스쳐 보형물 교체_6개월차
모티바
모티바 가슴성형
모티바 가슴성형+부유방 제거
모티바_12개월차
모티바_13개월차
모티바_1년차
모티바_2개월차
모티바_3개월차
모티바_4개월차
모티바_5개월차
모티바_6개월차
모티바_7개월차
모티바_8개월차
모티바_구형구축_6개월차
모티바_모양불만족_1개월차
모티바_밑빠짐_4개월차
모티바_사이즈불만족_11개월차
목거상
목리프팅
무보형물 코끝성형, 복코, 짧은코
무보형물 코끝성형, 복코, 콧볼축소
무보형물 코끝성형, 짧은코, 휜코
무보형물 코성형
무보형물 코성형, 매부리코 교정
무보형물 코성형, 매부리코 교정, 짧은코 교정
무보형물 코성형, 매부리코, 긴코, 용코
무보형물 코성형, 복코, 매부리코, 긴코
무보형물 코성형, 복코, 매부리코, 긴코, 비순각
무보형물 코성형, 복코, 매부리코, 콧볼 축소
무보형물 코성형, 복코, 매부리코, 휜코
무보형물 코성형, 복코교정, 매부리코교정, 기능코성형
무보형물 코성형, 콧볼축소
무보형물 코성형(복코, 긴코, 매부리코, 휜코, 자가늑연골)
무보형물 코성형(복코, 매부리코, 긴코)
무보형물 코성형(복코, 휜코, 매부리코, 콧볼축소)
무보형물, 기능코 성형, 복코, 매부리코, 긴코
무보형물,코끝(비중격,귀연골),콧볼축소,비공내리기...
무보형물코성형
무보형물코성형, 넓은코교정
무보형물코성형, 넓은코교정(절골)
무보형물코성형, 넓은코교정(절골술)
무보형물코성형, 매부리교정, 코절골술
무보형물코성형, 매부리코교정
무보형물코성형, 매부리코교정, 비주교정, 콧볼축소, 콧볼거상
무보형물코성형, 복코교정, 넓은코교정(절골)
무보형물코성형, 복코교정, 매부리코교정
무보형물코성형, 복코교정, 콧볼축소
무보형물코성형, 복코교정, 콧볼축소, 넓은코교정, 절골
무보형물코성형, 절골, 매부리코교정
무보형물코성형, 짧은코교정, 복코교정
무보형물코성형, 코뼈절골술, 콧볼축소
무쌍절개눈매교정, 눈두덩이 지방제거
무턱 교정+코재수술+복코교정+콧볼축소
물방울 가슴성형 (멘토 270cc)
물방울 가슴성형 (멘토 295cc)
물방울 가슴성형 (멘토 305cc)
물방울 가슴성형 (세빈 325cc)
물방울 가슴성형 (실리메드 275cc)
물방울 가슴성형 (폴리텍 240cc)
물방울 가슴성형 (폴리텍 260cc)
물방울 가슴성형 (폴리텍 275cc)
물방울 가슴성형 (폴리텍 300cc)
물방울 가슴성형 (폴리텍 315cc)
물방울 가슴성형 (폴리텍 350cc)
물방울 가슴성형(255cc)
물방울 가슴성형(280cc)
물방울 가슴성형(375cc)
미니 복부성형
미니 하안검, 앞광대 지방이식
미니리프팅
미니리프팅 (SMAS)
미니리프팅 (SMAS) + 민트실리프팅
미니리프팅 + 민트실리프팅
미니리프팅+V턱선리프팅
미니리프팅+V턱선리프팅+민트실리프팅
미니리프팅+V턱선리프팅+이마지방이식
미니리프팅+V턱선리프팅+지방이식
미니리프팅+민트리프팅
미니리프팅+민트실리프팅
미니리프팅+민트실리프팅+V턱선리프팅
미니리프팅+민트실리프팅+엘라스티꿈리프팅(목)
미니리프팅+민트실리프팅+지방이식(이마,팔자)
미니리프팅+민트실리프팅+풀페이스지방이식
미니리프팅+실리프팅
미니리프팅+아큐(팔자위)
미니리프팅+아큐리프팅
미니리프팅+아큐스컬프
미니리프팅+아큐스컬프+이마거상(엔도타인)+풀페이스지방이식+보톡스[이마,자갈턱]
미니리프팅+엘라스티꿈
미니리프팅+엘라스티꿈+민트실리프팅
미니리프팅+엘라스티꿈+지방이식
미니리프팅+엘라스티꿈+풀페이스지방이식
미니리프팅+엘라스티꿈리프팅+사각턱보톡스
미니리프팅+지방이식
미니하안검, 앞광대 지방이식
미니하안검, 앞광대지방이식
미백치료
미스코+무턱교정
민트 실리프팅 + 미니리프팅 (SMAS)
민트 실리프팅 + 아큐 (턱선, 이중턱)
민트 실리프팅 + 아큐 (턱선)
민트실리프팅
밑트임
밑트임(재수술),눈밑지방재배치
벨라젤 가슴성형
벨라젤 가슴성형(재수술)
벨라젤 가슴성형+부유방 제거
보조개수술
보조개수술 (한쪽)
보톡스 필러
보형물 안면윤곽 [이마 윤곽술]
복부 지방흡입
복부성형
복부지방흡입
복부지방흡입, 러브핸들지방흡입
복코
복코, 긴코
복코, 긴코, 매부리코
복코, 긴코, 매부리코, 휜코
복코, 긴코, 비순각 교정
복코, 긴코, 비순각교정, 매부리코
복코, 긴코, 안장코, 비순각, 비주교정
복코, 긴코, 용코
복코, 낮은코
복코, 매부리코
복코, 매부리코, 긴코
복코, 매부리코, 긴코, 비주교정, 비순각교정
복코, 매부리코, 긴코성형
복코, 매부리코, 비주교정, 피치리프팅, 입꼬리 필러
복코, 매부리코, 용코
복코, 매부리코, 절골
복코, 매부리코, 절골, 비주교정
복코, 매부리코, 코끝처짐, 절골, 비순각, 비주교정
복코, 매부리코, 휜코, 긴코
복코, 매부리코, 휜코, 비순각 교정
복코, 매부리코, 휜코, 비순각성형
복코, 비순각교정, 절골, 매부리코
복코, 용코, 비순각 교정
복코, 절골, 매부리코, 비순각성형
복코, 짧은코
복코, 짧은코 성형
복코, 짧은코, 돌출입코, 콧볼축소
복코, 짧은코, 매부리코, 비순각교정
복코, 짧은코, 비주교정, 절골
복코, 짧은코, 콧볼축소
복코, 짧은코, 휜코, 비순각교정
복코, 짧은코, 휜코, 비주교정
복코, 콧볼축소, 짧은코
복코, 휜코
복코, 휜코, 긴코, 비주교정
복코교정
복코교정+짧은코교정+비염미용코
복코성형
볼뉴머
볼뉴머 300샷+온다 40KJ
볼뉴머 400샷+온다 40KJ
볼뉴머, 슈링크 유니버스
부분절개쌍꺼풀,눈밑지방재배치
부유방 지방흡입
브이라인 리프팅
브이라인 리프팅, 미니리프팅
브이라인 리프팅, 옆볼필러
브이라인 리프팅, 이중턱 리프팅
브이라인 리프팅, 이중턱 리프팅, 미니리프팅
브이라인 리프팅, 이중턱 지방흡입 & 근육묶기
블루로즈 리프팅(턱라인)
블루로즈 리프팅(팔자, 턱라인)
비개방형 코수술
비너스(턱밑), 이중턱묶기
비너스레이저(볼, 턱밑), 엔도타인
비수술 눈밑성형
비수술 코성형
비수술 팔자리프팅
비수술 팔자리프팅 (잼버실, 팔자필러)
비수술 팔자리프팅 (잼버실, 팔자필러), 이마필러
비절개 눈매교정
비절개 눈매교정, 라인 낮추기, 눈위지방이식
비절개 눈매교정, 윗트임
비절개 눈매교정+더블트임+재수술
비절개 눈매교정+앞트임
비절개 재수술+눈밑지방이식
비절개눈매교정
비절개눈매교정 눈썹거상술
비절개눈매교정 앞트임 윗트임
비절개눈매교정 윗트임
비절개눈매교정 재수술
비절개눈매교정 재수술, 라인낮추기, 눈두덩이 지방이식
비절개눈매교정 재수술+밑트임+뒤트임 재수술
비절개눈매교정 재수술+앞트임
비절개눈매교정, 눈밑지방재배치
비절개눈매교정, 눈썹거상, 눈꺼풀지방제거
비절개눈매교정, 앞트임
비절개눈매교정, 앞트임, 윗트임
비절개눈매교정, 앞트임, 윗트임, 뒤트임
비절개눈매교정, 윗트임
비절개눈매교정, 트임, 눈두덩이지방이식, 눈밑지방재배치
비절개눈매교정, 트임성형, 눈밑지방재배치
비절개눈매교정,눈밑지방재배치,지방이식(눈밑)
비절개눈매교정,눈썹하거상술,눈밑지방재배치,안검내반
비절개눈매교정,윗트임,뒤밑트임,눈밑지방재배치
비절개눈매교정+뒤트임+밑트임
비절개눈매교정+밑트임+뒤트임
비절개눈매교정+앞트임
비절개눈매교정+앞트임+윗트임+뒤트임+밑트임
비절개눈매교정+윗트임+뒤트임+밑트임
비절개눈매교정+재수술+앞트임
사각턱, 광대, 앞턱
사각턱, 광대, 앞턱, 양악
사각턱, 광대, 앞턱, 피질절골
사각턱, 광대, 앞턱, 피질절골, 심부볼제거
사각턱, 광대, 앞턱, 피질절골, 코(콧대, 코끝)재수술
사각턱, 광대, 피질절골, 지방이식, 비너스레이저
사각턱, 앞턱
사각턱, 앞턱, 피질절골
사각턱, 앞턱, 피질절골, 비너스(볼, 턱밑), 실리프팅
사각턱, 앞턱, 피질절골, 비너스(옆볼, 턱밑)
사각턱+광대+V절골
사각턱+앞턱
사각턱+턱끝성형 (T절골)
사각턱수술+광대축소술
사각턱축소
사각턱축소 재수술+광대축소 재수술
사각턱축소 재수술+광대축소+턱끝
사각턱축소+광대축소
사각턱축소+광대축소+V절골
사각턱축소+광대축소+턱끝성형
사각턱축소+광대축소+턱끝성형 (윤곽3종)
사각턱축소+광대축소+턱끝성형 (윤곽3종)+코성형
사각턱축소+광대축소+턱끝성형(재수술)
사각턱축소+광대축소+턱끝성형+코성형
사각턱축소+광대축소재수술+턱끝성형
사각턱축소+앞턱수술+코재수술
사각턱축소+코성형+아큐스컬프(턱선)
사각턱축소+턱끝성형
사각턱축소+턱끝성형 (T절골)
사각턱축소술
상악/앞니 부분 / 3개이하 /
상악/앞니 부분 / 3개이하 / 뼈이식
상악/앞니 부분 / 3개이하 / 뼈이식|고혈압
상악/앞니 부분 / 3개이하 / 뼈이식|고혈압|당뇨
상악/앞니 부분 / 3개이하 / 뼈이식|수면
상악/앞니 부분 / 3개이하 / 뼈이식|수면|고혈압
상악/앞니 부분 / 3개이하 / 뼈이식|수면|고혈압|당뇨|아스피린
상악/앞니 부분 / 3개이하 / 뼈이식|수면|아스피린
상악/앞니 부분 / 4개이상 / 뼈이식
상악/앞니 부분 / 4개이상 / 뼈이식|고혈압
상악/앞니 부분 / 4개이상 / 뼈이식|고혈압|당뇨
상악/앞니 부분 / 4개이상 / 뼈이식|당뇨
상악/앞니 부분 / 4개이상 / 뼈이식|당뇨|아스피린
상악/앞니 부분 / 4개이상 / 뼈이식|수면
상악/앞니 부분 / 4개이상 / 뼈이식|수면|고혈압
상악/앞니 부분 / 4개이상 / 뼈이식|수면|고혈압|당뇨
상악/앞니 부분 / 4개이상 / 뼈이식|아스피린
상악/어금니 부분 / 3개이하 / 뼈이식
상악/어금니 부분 / 3개이하 / 뼈이식|고혈압
상악/어금니 부분 / 3개이하 / 뼈이식|고혈압|당뇨
상악/어금니 부분 / 3개이하 / 뼈이식|수면
상악/어금니 부분 / 3개이하 / 뼈이식|수면|고혈압
상악/어금니 부분 / 3개이하 / 뼈이식|수면|당뇨
상악/어금니 부분 / 4개이상 / 뼈이식
상악/어금니 부분 / 4개이상 / 뼈이식|고혈압
상악/어금니 부분 / 4개이상 / 뼈이식|수면
상악/어금니 부분 / 4개이상 / 뼈이식|수면|고혈압
상악/어금니 부분 / 4개이상 / 뼈이식|수면|고혈압|당뇨
상악/어금니 부분 / 4개이상 / 뼈이식|수면|고혈압|당뇨|아스피린
상악/전체 / 뼈이식
상악/전체 / 뼈이식|수면
상악/전체 / 뼈이식|수면|고혈압
상악/전체 / 뼈이식|수면|고혈압|당뇨
상악/전체 / 뼈이식|수면|아스피린
상안검
상안검 + 눈밑지방재배치
상안검 눈매교정
상안검 눈매교정 재수술
상안검 눈매교정, 하안검 지방 재배치, 눈 위 지방이식
상안검 눈매교정+재수술
상안검 눈매교정+하안검
상안검 성형, 하안검 성형
상안검 재수술
상안검 재수술, 하안검 눈밑지방재배치
상안검 재수술+하안검
상안검, 눈매교정
상안검, 눈매교정, 눈위지방이식
상안검, 눈밑지방재배치
상안검, 눈썹밑거상
상안검, 하안검
상안검,눈매교정
상안검,눈매교정,눈썹거상술
상안검,눈매교정,윗트임
상안검,눈매교정,하안검
상안검,눈매교정,하안검,외안각성형술
상안검,눈매교정술
상안검,눈썹거상술
상안검,앞트임복원
상안검,절개(두줄따기,3회),눈매교정,지방이식(눈꺼풀),라인낮추기...
상안검,하안검
상안검,하안검,눈매교정
상안검,하안검,눈매교정,앞트임,외안각고정술...
상안검,하안검,외안각고정술
상안검(두줄따기),하안검,눈매교정,뒤트임,안와지방재배치,라인낮추기...
상안검(재)
상안검+눈매교정
상안검+눈밑지
상안검+눈썹하거상
상안검+눈재수술+앞트임+밑트임
상안검+앞트임
상안검+하안검
상안검+하안검+눈매교정
상안검성형(꺼진눈, 겹주름 교정), 눈위지방이식
상안검재수술
상안검재수술+눈밑지방제거
성형수술
세빈 가슴성형
세빈서브리미티_1개월차
세빈서브리미티_2개월차
세빈서브리미티_6개월차
세빈서브리미티_7개월차
세빈서브리미티_8개월차
세빈서브리미티_9개월차
세빈서브리미티_모양불만족_6개월차
세빈서브리미티_밑빠짐_12개월차
세빈인테그리티_12개월차
세빈인테그리티_1개월차
세빈인테그리티_2개월차
세빈인테그리티_3개월차
세빈인테그리티_4개월차
세빈인테그리티_6개월차
수직미니리프팅
수직미니리프팅+아큐리프팅+민트실리프팅
수직미니리프팅+엘라스티꿈
쉐이핑안면윤곽[광대+사각턱]
쉐이핑안면윤곽[광대+앞턱]
쉐이핑안면윤곽[광대+앞턱] + 안면윤곽재수술
쉐이핑안면윤곽[사각턱] + 아큐스컬프
쉐이핑안면윤곽[사각턱+앞턱]
쉐이핑안면윤곽[앞턱]
쉐이핑안면윤곽[윤곽3종]
쉐이핑안면윤곽[윤곽3종]+아큐스컬프+풀페이스지방이식
슈링크,온다
슈링크,인모드FX+FORMA
슈링크리프팅, 인모드리프팅
스마일양악+광대축소+앞턱
스마일양악+터닝광대축소+코재수술+지방이식
스컬트라, 이마필러
스킨보톡스
슬림바디핏주사
승모근보톡스
시니어 이마거상, 눈썹하거상, 자연유착
시술 전/후
실루엣 리프팅
실리프팅
실리프팅, 코프팅
쌍꺼풀 절개 윗트임
쌍꺼풀 절개 재수술, 앞트임 복원, 윗트임
쌍꺼풀 풀림 교정
쌍꺼풀-절개
쌍꺼풀(매몰)
쌍꺼풀(매몰), 눈썹밑거상, 하안검
쌍꺼풀(매몰), 앞트임
쌍꺼풀(매몰), 앞트임, 뒤트임, 밑트임
쌍꺼풀(매몰), 이마거상(실고정), 하안검
쌍꺼풀(매몰), 하안검
쌍꺼풀(매몰)재수술
쌍꺼풀(매몰)재수술, 밑트임, 눈밑지방제거
쌍꺼풀(매몰)재수술, 앞트임
쌍꺼풀(매몰)재수술, 이마거상(실고정), 코(콧대, 코끝), 절골, 매부리, 코필러녹이기
쌍꺼풀(매몰법-오른쪽눈)
쌍꺼풀(매몰법)
쌍꺼풀(매몰법)+앞트임
쌍꺼풀(부분절개)
쌍꺼풀(부분절개), 눈밑지방이식
쌍꺼풀(부분절개), 앞트임
쌍꺼풀(부분절개), 이마거상(엔도타인)
쌍꺼풀(부분절개)재수술
쌍꺼풀(부분절개)재수술, 앞트임
쌍꺼풀(부분절개)재수술, 앞트임재수술, 뒤트임, 밑트임
쌍꺼풀(부분절개법)
쌍꺼풀(비절개),눈썹밑거상,하안검
쌍꺼풀(자연유착)
쌍꺼풀(자연유착), 앞트임
쌍꺼풀(절개)
쌍꺼풀(절개), 눈썹밑거상
쌍꺼풀(절개), 눈썹밑거상, 하안검, 지방이식(눈밑)
쌍꺼풀(절개), 앞트임
쌍꺼풀(절개), 앞트임, 뒤트임, 밑트임, 코(콧대, 코끝), 콧볼축소(절개), 사각턱, 광대, 앞턱, 돌출입, 풀페이스지방이식
쌍꺼풀(절개)+눈매교정
쌍꺼풀(절개)재수술
쌍꺼풀(절개)재수술, 눈밑지방재배치
쌍꺼풀(절개)재수술, 앞트임재수술
쌍꺼풀(절개법_재수술)
쌍꺼풀(절개법)
쌍꺼풀(절개법)+눈매교정
쌍꺼풀(절개법)+눈매교정+앞트임
쌍꺼풀(절개법)+앞트임
쌍꺼풀재수술(매몰)
쌍꺼풀재수술(절개)
쌍꺼풀재수술(절개)+눈매교정
쌍꺼풀재수술(절개법)+눈매교정
쌍꺼풀재수술(절개법+눈매교정)
쌍꺼풀절개법,윗트임
쌍커풀(매몰법)+앞트임+눈밑지방제거(TCA)
써마지FLX 300샷+스컬트라(앞 광대+팔자+옆볼)
써마지FLX 600샷+온다 60KJ
아큐(볼)
아큐(볼)+절개V리프팅+SMAS
아큐(이중턱,턱선)
아큐(이중턱,턱선)+V턱선리프팅+민트실리프팅
아큐(턱선,이중턱)
아큐(턱선,이중턱)+민트실리프팅
아큐(턱선,이중턱)+엘라스티꿈
아큐(턱선,이중턱)+절개V리프팅+민트실리프팅
아큐(턱선)
아큐스컬프
아큐스컬프 (볼,턱선) + 민트 실리프팅
아큐스컬프 (이중턱,턱선)
아큐스컬프(현재 비너스레이저)
아큐스컬프(현재 비너스레이저)(턱라인)
아큐스컬프(현재 비너스레이저)(턱라인)+보톡스(턱)
안검내반
안검퇴축술(과교정복원),상안검,하안검
안면거상
안면거상 미니
안면거상, 눈썹밑거상, 하안검, 풀페이스지방이식(눈위, 아래포함)
안면거상, 사각턱축소, 상안검, 하안검, 이마거상
안면거상, 하안검, 지방이식(눈밑)
안면거상(재수술),이마거상,심부볼제거,턱밑근육묶기...
안면거상+돌출입+인중축소
안면거상+목거상
안면거상+목거상+상안검+코성형+아큐 리프팅+지방이식
안면거상+목리프팅+하안검
안면거상+아큐스컬프
안면거상+팔자주름지방이식+아큐(심부볼)
안면거상술
안면거상술+아큐리프팅(팔자위,턱선)+지방이식(팔자주름,눈밑)
안면거상술+지방이식
안면윤곽
앞광대/팔자 지방이식, 이마 보톡스
앞볼 지방흡입, 턱라인, 이중턱 실리프팅
앞턱전진
앞턱절골수술
앞트임
앞트임 , 비절개눈매교정 , 자연유착쌍거풀
앞트임 , 자연유착쌍꺼풀
앞트임 복원
앞트임, 뒤트임재수술, 밑트임
앞트임, 이마거상(실고정)
앞트임,상안검,하안검,눈밑지방재배치,외안각교정술...
앞트임복원, 뒤트임복원
앞트임복원,안검내반
앞트임재수술
애교필러
어깨필러
어깨필러(+ 승모근톡신)
어깨필러(+승모근보톡스)
얼굴 리프팅, 눈두덩이 지방이식, 팔자 지방이식
얼굴 지방흡입
얼굴지방이식(앞광대, 팔자, 옆볼)
얼굴지방이식(이마)
얼굴지방이식(풀페이스)
얼굴지방흡입
얼굴지방흡입(이중턱)
에피티콘 리프팅(팔자,턱라인)
에피티콘 리프팅(팔자,턱라인)+무턱필러+사각턱 보톡스
엔도타인 이마거상
엔도타인, 비너스레이저
엘라스티꿈
엘라스티꿈 + 미니리프팅
엘라스티꿈 + 민트실리프팅 + 미니리프팅
엘라스티꿈 + 아큐 (볼)
엘라스티꿈+아큐스컬프
엘라스티꿈+아큐스컬프(이중턱, 팔자)
여드름 치료
여드름 프로그램
여드름 흉터 치료
여성모발이식 비절개 2000모
여성모발이식 비절개 3000모
여성모발이식 비절개 3500모
여성모발이식 절개 1000모
여성모발이식 절개 1500모
여성모발이식 절개 2000모
여성모발이식 절개 2500모
여성모발이식 절개 3000모
여성헤어라인 1000모 / 2주 후
여성헤어라인 1500모 / 2주 후
여성헤어라인 2000모 / 2주 후
여성헤어라인 2500모 / 1개월 후
여성헤어라인 2500모 / 2주 후
여성헤어라인 3000모 / 1개월 후
여성헤어라인 3000모 / 2주 후
여성헤어라인 비절개 2000모
여성헤어라인 절개 1500모
여성헤어라인 절개 2500모
여성헤어라인 절개 3000모
여유증
연조직윤곽술+미니리프팅
연조직윤곽술+풀미니리프팅
오자축소_6개월차
울쎄라
울쎄라 + 입술필러
울쎄라 400샷, 리쥬란힐러, 릴리이드
울쎄라, 인모드FX+FORMA,버츄RF
울쎄라,인모드FX+FORMA,슈링크,버츄RF
울쎄라+더모톡신
울쎄라+더모톡신 V라인
울쎄라+써마지
울쎄라+인모드
울쎄라+인모드+꿀광톡스
울쎄라+인모드+윤곽주사
울쎄라리프팅
울쎄라프라임 300샷+써마지FLX 300샷
울쎄라프라임 400샷+레디어스 (마리오넷, 팔자주름)
울쎄라프라임 400샷+레디어스(마리오넷, 팔자주름)
울쎄라프라임 400샷+온다 40KJ
울쎄라프라임+인모드FX
원데이히트슬림
위트임,절개쌍꺼풀,눈매교정,뒤트임,밑트임
윤곽2종+V절골
윤곽2종+미니리프팅
윤곽2종+코성형
윤곽3종
윤곽3종 (광대축소+사각턱축소+턱끝성형) +코성형
윤곽3종+(재)절개눈매교정+뒤트임+밑트임
윤곽3종+눈밑지방제거+코성형
윤곽3종+눈성형+아큐스컬프
윤곽3종+눈성형+코성형
윤곽3종+눈성형+코성형+지방이식
윤곽3종+눈성형+코재수술
윤곽3종+미니리프팅+민트실리프팅
윤곽3종+비절개눈매교정
윤곽3종+비절개눈매교정+이마축소
윤곽3종+심부볼 제거
윤곽3종+아큐리프팅(턱선)
윤곽3종+코성형
윤곽3종+코재수술+밑트임
윤곽3종+코재수술+풀페이스 지방이식
윤곽3종+콧대+코끝+복코교정
윤곽3종+풀미니리프팅
윤곽성형
윤곽성형, 얼굴지방흡입, 실리프팅
윤곽성형, 이마 지방이식
윤곽주사
융비술
융비술, 매부리교정, 광대축소술, 사각턱축소술, 턱끝후진술
융비술, 매부리교정, 절골, 자가늑연골
융비술, 절골, 매부리교정
융비술, 콧볼축소
융비술(콧대)
융비술(콧대+코끝)
융비술(콧대+코끝) , 기증늑연골 , 휜코교정술
융비술(콧대+코끝) , 짧은코수술
이마 리프팅
이마 지방이식
이마 필러
이마거상
이마거상 (내시경)
이마거상 (본터널링)
이마거상 (엔도타인)
이마거상 눈썹거상술
이마거상, 눈썹거상
이마거상, 눈썹거상, 하안검, 중안면거상
이마거상, 윤곽성형, 얼굴지방흡입, 턱끝보형물
이마거상, 자연유착
이마거상, 자연유착, 눈밑지방재배치
이마거상, 절개재수술
이마거상,하안검,눈썹밑거상,지방이식(눈밑)
이마거상(실고정)
이마거상(실고정), 풀페이스지방이식, 귀족보형물
이마거상술
이마보형물
이마지방이식
이마축소
이마축소술
이마필러
이중 콧볼축소
이중턱 근육묶기
이중턱 리프팅, 이중턱 지방흡입
이중턱 지방흡입
이중턱 지방흡입 & 근육묶기
이중턱 지방흡입, 실리프팅
이중턱 지방흡입,실리프팅,턱끝 보형물
이중턱근육묶기
이중턱근육묶기 + 무턱필러
이중턱근육묶기+앞턱지방이식
이중턱근육묶기+에피티콘(턱라인)
이중턱지방흡입, 앞볼리프팅
이중턱지방흡입,이중턱근육묶기
인모드
인모드FORMA, 슈링크, 버츄RF
인모드FX,슈링크,버츄RF,핏주사
인중축소
입꼬리 성형
입꼬리 수술+입술 필러
입꼬리필러
입술 필러
입술 필러, 인중축소(내측, 외측), 입꼬리 수술
입술비대칭교정(필러 + 보톡스)
입술필러
입술필러 + 입꼬리 보톡스
입술필러 + 입꼬리보톡스
입술필러, 입꼬리 보톡스
자가늑연골 코성형(복코, 짧은코)
자가늑연골 코재수술
자가늑연골 코재수술 (안장코, 휜코)
자가늑연골 코재수술(비주교정)
자가늑연골 코재수술(비주함몰 재건)
자가늑연골 코재수술(짧은코, 돌출입)
자가늑연골 코재수술(짧은코, 비주교정)
자가늑연골 코재수술(휜코, 구축코)
자가늑연골 코재수술(휜코, 비주교정)
자가늑연골 코재수술(휜코, 비주함몰)
자가늑연골 코재수술(휜코, 짧은코, 비주함몰)
자가늑연골 코재수술(휜코, 짧은코)
자가늑코성형, 매부리코, 돌출입교정
자가늑코성형, 복코, 짧은코, 용코
자가늑코성형(재수술), 복코, 안장코, 비순각교정
자가늑코성형(재수술), 복코, 휜코, 긴코
자가늑코성형(재수술), 비주교정
자가늑코성형(재수술), 짧은코, 복코, 비주교정
자가늑코성형(재수술), 짧은코, 비순각 교정
자가늑코성형(재수술), 짧은코, 비주교정
자가늑코성형(재수술), 짧은코, 휜코, 비주교정
자가늑코성형(재수술), 휜코, 비순각교정
자가늑코성형(재수술), 휜코, 비주교정
자연유착
자연유착 눈매교정 재수술, 눈썹하거상술, 하안검
자연유착 눈썹거상술 눈위지방이식
자연유착 눈썹거상술 윗트임
자연유착 눈썹거상술 이마거상
자연유착 눈썹올림술
자연유착 뒤밑트임 이마거상
자연유착 쌍꺼풀
자연유착 쌍꺼풀, 앞트임
자연유착 쌍꺼풀, 뒤트임, 밑트임
자연유착 쌍꺼풀, 비절개 눈매교정
자연유착 쌍꺼풀, 비절개 눈매교정, 앞트임
자연유착 쌍꺼풀, 비절개 눈매교정, 앞트임, 뒤트임, 밑트임
자연유착 쌍꺼풀, 앞트임
자연유착 앞트임 윗트임
자연유착 앞트임 윗트임 이마거상
자연유착 윗트임
자연유착 윗트임 눈밑지방재배치
자연유착 윗트임 뒤밑트임 눈밑지방재배치 코성형
자연유착 재수술
자연유착 재수술, 눈두덩이 지방이식
자연유착 재수술, 눈밑지방재배치
자연유착 재수술, 앞트임 재수술
자연유착 재수술, 앞트임 재수술, 뒷트임, 밑트임
자연유착 재수술, 윗트임
자연유착 재수술, 윗트임, 뒷트임, 밑트임
자연유착 재수술,윗트임,뒷트임,밑트임
자연유착 재수술(기존 라인 풀기)
자연유착, 눈매교정
자연유착, 눈매교정, 눈밑지방재배치
자연유착, 눈매교정, 눈썹거상술
자연유착, 눈매교정, 앞트임
자연유착, 눈매교정, 앞트임, 눈위지방이식
자연유착, 눈매교정, 앞트임, 윗트임
자연유착, 눈밑지방재배치
자연유착, 눈밑지방재배치, 눈두덩이지방이식, 눈밑지방이식
자연유착, 눈썹거상
자연유착, 눈썹거상, 앞트임, 윗트임
자연유착, 눈썹거상술
자연유착, 눈썹거상술, 눈밑지방재배치, 앞광대지방이식
자연유착, 눈썹거상술, 눈밑지방제거, 눈두덩이지방이식, 눈밑지방이식
자연유착, 눈썹거상술, 윗트임, 뒤트임
자연유착, 눈썹올림술
자연유착, 앞트임
자연유착, 앞트임, 눈위지방이식, 눈밑지방재배치
자연유착, 앞트임, 윗트임
자연유착, 앞트임, 윗트임, 뒷트임, 밑트임
자연유착, 윗트임
자연유착, 윗트임, 눈꺼풀지방제거
자연유착, 윗트임, 눈두덩이지방이식
자연유착, 윗트임, 눈밑지방재배치
자연유착, 윗트임, 눈밑지방재배치, 앞광대 지방이식
자연유착, 윗트임, 눈밑지방제거, 지방이식
자연유착, 윗트임, 눈썹거상
자연유착, 윗트임, 눈썹올림술
자연유착, 윗트임, 뒷트임, 밑트임
자연유착, 윗트임, 앞트임
자연유착, 윗트임, 주니어이마거상
자연유착, 이마거상
자연유착, 주니어 이마거상
자연유착, 지방제거, 윗트임
자연유착,눈매교정,블링아이
자연유착,눈밑지방재배치
자연유착,눈밑지방재배치,눈썹거상술
자연유착법 재수술, 눈썹거상술
자연유착쌍꺼풀
자연유착쌍꺼풀, 비절개눈매교정
자연유착쌍꺼풀, 비절개눈매교정, 앞트임
자연유착쌍꺼풀, 비절개눈매교정, 앞트임, 뒤트임, 밑트임
자연유착쌍꺼풀, 비절개눈매교정, 윗트임
자연유착쌍꺼풀, 앞트임
자연유착쌍꺼풀, 앞트임, 뒤트임, 밑트임
자연유착재수술
자연유착재수술, 눈두덩이지방이식
자연유착재수술, 눈썹거상술, 눈두덩이지방이식
자연유착재수술, 뒷트임, 밑트임
자연유착재수술, 라인낮추기
자연유착재수술, 앞트임, 윗트임
자연유착재수술, 윗트임
잡티관리(레이져), 리쥬란힐러
잼버실
잼버실, 팔자필러
잼버실리프팅
전악/전체 / 4개이상 / 뼈이식|수면
전악/전체 / 뼈이식
전악/전체 / 뼈이식|수면
전악/전체 / 뼈이식|수면|고혈압
전악/전체 / 뼈이식|수면|고혈압|당뇨
전악/전체 / 뼈이식|수면|당뇨
전악/전체 / 뼈이식|수면|당뇨|아스피린
전악/전체 / 수면|고혈압|당뇨
절개
절개 눈매교정
절개 눈매교정 재수술
절개 눈매교정 재수술, 앞+위트임
절개 눈매교정 재수술, 앞트임
절개 눈매교정 재수술, 윗트임
절개 눈매교정 재수술, 윗트임, 앞트임 복원
절개 쌍꺼풀
절개 쌍꺼풀 (재_소세지 교정)
절개 쌍꺼풀 (재_짝눈, 소세지 교정)
절개 쌍꺼풀 눈매교정, 코너트임
절개 쌍꺼풀 앞트임 윗트임
절개 쌍꺼풀 윗트임
절개 쌍꺼풀 윗트임 눈밑지방재배치
절개 쌍꺼풀 재수술, 라인 낮추기
절개 쌍꺼풀 재수술(라인 낮추기)
절개 쌍꺼풀, 45도 앞윗트임
절개 쌍꺼풀, 눈 두덩이 지방제거
절개 쌍꺼풀, 눈매교정
절개 쌍꺼풀, 눈매교정, 45도 앞윗트
절개 쌍꺼풀, 눈매교정, 45도 앞윗트임
절개 쌍꺼풀, 눈매교정, 눈두덩이지방제거
절개 쌍꺼풀, 눈매교정, 눈밑지방재배치
절개 쌍꺼풀, 눈매교정, 상안검 눈매교정
절개 쌍꺼풀, 눈매교정, 앞,윗트임
절개 쌍꺼풀, 눈매교정, 앞트임 복원
절개 쌍꺼풀, 눈매교정, 앞트임, 눈두덩이 지방제거
절개 쌍꺼풀, 눈매교정(짝눈 교정), 눈밑지방재배치
절개 쌍꺼풀, 눈썹올림술
절개 쌍꺼풀, 눈위지방이식
절개 쌍꺼풀, 앞트임
절개 쌍꺼풀, 앞트임, 코너트임, 눈 두덩이 지방제거
절개 쌍꺼풀, 앞트임, 코너트임, 밑트임
절개 쌍꺼풀(재_꺼진눈 교정), 눈매교정,
절개 쌍꺼풀(재_꺼진눈교정), 눈매교정, 눈 위 지방이식
절개 쌍꺼풀(재_라인 낮추기), 눈매교정, 눈밑지방재배치
절개 쌍꺼풀(재_라인낮추기, 두줄따기)
절개 쌍꺼풀(재_라인낮추기)
절개 쌍꺼풀(재_라인낮추기), 눈매교정
절개 쌍꺼풀(재_소시지 라인, 비대칭 교정)
절개 쌍꺼풀(재_짝눈, 소시지교정), 눈매교정
절개 쌍꺼풀(재)
절개 쌍꺼풀(재), 눈매교정
절개 쌍꺼풀(재), 눈매교정, 눈위지방이식
절개 쌍꺼풀(재), 눈매교정, 윗트임, 뒷밑트임
절개 쌍꺼풀(재), 눈매교정, 코너트임
절개 쌍꺼풀(재), 눈위지방이식
절개 쌍꺼풀(재), 윗트임
절개 쌍꺼풀(재), 지방전위
절개 쌍꺼풀(재). 눈매교정
절개 쌍커풀
절개 재수술
절개 재수술, 눈밑지방재배치
절개 재수술, 라인낮추기
절개 재수술, 윗트임
절개 재수술, 윗트임 재수술
절개 콧볼축소
절개, 눈매교정
절개, 눈매교정, 앞트임
절개, 앞트임
절개, 윗트임
절개,2종트임(뒤트임,밑트임)
절개,2종트임(앞트임,윗트임)
절개,3종트임(앞트임,윗트임,밑트임),안검내반...
절개,눈매교정
절개,눈매교정, 앞트임
절개,눈매교정,2종트임(뒤트임,밑트임),안와지방재배치...
절개,눈매교정,2종트임(앞트임,윗트임)
절개,눈매교정,2종트임(앞트임,윗트임),눈밑지방재배치,루프지방제거...
절개,눈매교정,2종트임(앞트임,윗트임),루프지방제거...
절개,눈매교정,2종트임(앞트임,윗트임),코,실리콘,코끝(비중격),콧볼축소,연골묶기...
절개,눈매교정,3종트임(앞트임,뒤트임,밑트임),루프지방제거...
절개,눈매교정,3종트임(앞트임,뒤트임,밑트임)...
절개,눈매교정,4종트임(앞트임,윗트임,뒤트임,밑트임),루프지방제거...
절개,눈매교정,4종트임(앞트임,윗트임,뒤트임,밑트임)...
절개,눈매교정,눈밑지방재배치
절개,눈매교정,눈밑지방재배치,뒤트임
절개,눈매교정,루프지방제거
절개,눈매교정,상안검,안와지방재배치
절개,눈매교정,안검내반
절개,눈매교정,안와지방재배치,눈밑지방재배치...
절개,눈매교정,앞트임
절개,눈매교정,앞트임,루프지방제거
절개,눈매교정,앞트임,밑트임
절개,눈매교정,앞트임,안검내반
절개,눈매교정,윗트임
절개,눈매교정,윗트임,루프지방제거
절개,눈매교정,트임,코,3D보형물,코끝(비중격),매부리교정...
절개,눈밑지방재배치,루프지방제거
절개,앞트임
절개,앞트임,루프지방제거
절개,앞트임,루프지방제거,외측고정수술
절개,윗트임,안와지방재배치
절개,윗트임,코,실리콘,코끝(비중격)
절개(3회,절제),눈매교정,루프지방제거,라인낮추기...
절개(눈매교정), 앞트임
절개(두줄따기,2회),눈매교정,앞트임,안검내반,라인낮추기...
절개(두줄따기,재수술),눈매교정,라인낮추기
절개(두줄따기,재수술4회),안검퇴축술(과교정복원),라인낮추기...
절개(두줄따기),눈매교정,앞트임복원
절개(두줄따기),라인낮추기
절개(재)+하안검
절개(재수술,두줄따기),눈매교정,라인낮추기
절개(재수술)
절개(재수술),눈매교정
절개(재수술),눈매교정,2종트임(뒤트임,밑트임)...
절개(재수술),눈매교정,2종트임(앞트임,윗트임)...
절개(재수술),눈매교정,뒤트임
절개(재수술),눈매교정,안검내반,루프지방제거...
절개(재수술),눈매교정,안와지방재배치
절개(재수술),눈매교정,앞트임
절개(재수술),눈매교정,앞트임,루프지방제거
절개(재수술),눈매교정,앞트임,안검내반,루프지방제거...
절개(재수술),눈매교정,앞트임(재수술)
절개(재수술),라인낮추기
절개(재수술),안와지방재배치
절개(재수술)+눈매교정
절개(재수술3회),눈매교정,2종트임(뒤트임,밑트임),눈밑지방재배치...
절개(재수술3회),눈매교정,눈밑지방재배치,루프지방제거...
절개(재수술3회),눈매교정,뒤트임,눈밑지방재배치...
절개(재수술3회),눈매교정,앞트임복원
절개(재수술3회),라인낮추기
절개(재수술5회),눈매교정,앞트임,안와지방재배치...
절개(절제,3회),눈매교정,제자리트임,라인낮추기...
절개(절제,3회),라인낮추기
절개(절제,4회),눈매교정,뒤트임복원,밑트임(재수술)...
절개(절제,재수술),눈매교정,라인낮추기
절개(절제,재수술),눈매교정,앞트임복원,2종트임(뒤트임,밑트임),라인낮추기...
절개(절제,재수술)+앞트임+라인낮추기
절개(절제,재수술3회),눈매교정,라인낮추기
절개(절제,재수술4회),눈매교정,2종트임(앞트임,밑트임),라인낮추기...
절개(절제),눈매교정,GL언더트임(뒤트임,밑트임)...
절개(절제),눈매교정,라인낮추기
절개(절제),눈매교정,루프지방제거,라인낮추기...
절개(절제),눈매교정,앞트임(재수술),라인낮추기...
절개(절제),눈매교정,윗트임,라인낮추기
절개V리프팅
절개V리프팅 (SMAS) + 민트실리프팅
절개V리프팅 (SMAS) +미니리프팅 (SMAS) + 아큐스컬프 (턱선)
절개V리프팅+아큐리프팅
절개V리프팅+아큐스컬프
절개눈매교정
절개눈매교정 + 눈재수술
절개눈매교정 눈썹올림술
절개눈매교정 앞트임 윗트임
절개눈매교정 재수술
절개눈매교정 재수술, 눈썹올림술
절개눈매교정 재수술, 밑트임, 눈위지방이식
절개눈매교정 재수술, 윗트임
절개눈매교정 재수술, 팝콘트임
절개눈매교정 재수술+뒤트임 재수술+밑트임 재수술
절개눈매교정 재수술+뒤트임+밑트임
절개눈매교정 재수술+앞트임
절개눈매교정 재수술+앞트임 재수술+뒤트임+밑트임
절개눈매교정 재수술+윗트임
절개눈매교정 재수술+윗트임+뒤트임+밑트임
절개눈매교정 재수술+윗트임+밑트임+뒤트임 재수술
절개눈매교정, 눈밑지방재배치, 이마거상
절개눈매교정, 눈썹거상술
절개눈매교정, 뒷트임, 밑트임, 눈썹올림술
절개눈매교정, 앞트임 윗트임
절개눈매교정, 앞트임, 윗트임
절개눈매교정, 앞트임, 윗트임, 눈밑지방재배치
절개눈매교정, 윗트임
절개눈매교정, 윗트임, 뒷트임, 밑트임
절개눈매교정,눈밑지방재배치
절개눈매교정+뒤트임+밑트임
절개눈매교정+앞트임
절개눈매교정+앞트임+매부리코+복코교정
절개눈매교정재수술, 눈두덩이지방이식
절개눈매교정재수술, 라인낮추기
절개눈매교정재수술, 라인낮추기, 눈두덩이지방이식, 눈밑지방재배치, 눈밑지방이식
절개눈매교정재수술, 라인낮추기, 앞트임, 윗트임
절개눈매교정재수술, 라인낮추기, 앞트임복원
절개눈매교정재수술, 윗트임
절개쌍거풀, 절개눈매교정, 앞트임, 뒤트임, 밑트임
절개쌍꺼풀
절개쌍꺼풀 (재_꺼진눈 교정), 눈위지방이식, 눈매교정
절개쌍꺼풀 + 앞트임
절개쌍꺼풀 윗트임
절개쌍꺼풀 재수술
절개쌍꺼풀, 45도 앞윗트임, 눈두덩이지방제거
절개쌍꺼풀, 눈두덩이지방제거
절개쌍꺼풀, 눈매교정
절개쌍꺼풀, 윗트임
절개쌍꺼풀, 윗트임, 눈썹거상술
절개쌍꺼풀, 절개눈매교정
절개쌍꺼풀, 절개눈매교정, 뒤트임, 밑트임
절개쌍꺼풀, 절개눈매교정, 앞트임
절개쌍꺼풀, 절개눈매교정, 앞트임, 밑트임
절개쌍꺼풀(지방제거), 눈매교정
절개쌍꺼풀재수술, 라인 낮추기
절개쌍꺼풀재수술, 라인낮추기, 밑트임
절개쌍꺼풀재수술+눈매교정+앞트임
절개쌍꺼플(재_라인낮추기), 눈매교정
절개쌍커풀
절개쌍커풀, 눈밑지방재배치
절개쌍커풀, 앞트임, 윗트임
절개쌍커풀, 윗트임
절개쌍커풀재수술, 뒷트임, 밑트임
절개재수술
절개재수술, 눈밑지방재배치, 눈썹거상술
절개재수술, 눈썹올림술
절개재수술, 윗트임
절개재수술, 윗트임, 눈밑지방재배치
종아리보톡스
주니어 이마거상
주니어 이마거상, 자연유착, 윗트임
중년눈성형
중안면 리프팅
중안면리프팅+아큐스컬프
중안면리프팅+아큐스컬프+엘라스티꿈
중안면리프팅+아큐스컬프+지방이식
중안면리프팅+엔도타인
쥬베룩 볼륨
쥬베룩볼륨
쥬비덤볼리프트
지방(지방흡입-턱밑)
지방성형
지방이식
지방이식(눈위)
지방이식(이마,앞광대,턱)
지방이식(이마,팔자,앞광대)
지방이식(이마)
지방이식+윤곽주사
지방흡입
지방흡입(심부볼)
지방흡입(심부볼),안면거상
지방흡입(팔)
진피유착 쌍꺼풀
진피유착 쌍꺼풀, 45도 앞윗트임
진피유착 쌍꺼풀, 눈매교정
진피유착 쌍꺼풀, 눈매교정, 45도 앞윗트임
진피유착 쌍꺼풀, 눈매교정, 45도 앞윗트임, 코너트임
진피유착 쌍꺼풀, 눈매교정, 눈위 지방이식
진피유착 쌍꺼풀, 눈매교정, 눈위지방이식
진피유착 쌍꺼풀, 눈매교정, 눈위지방이식, 눈밑지방재배치
진피유착 쌍꺼풀, 눈매교정, 앞,윗트임
진피유착 쌍꺼풀, 눈매교정, 앞트임
진피유착 쌍꺼풀, 눈매교정, 앞트임, 눈밑지방재배치, 매부리코, 긴코, 비순각 교정, 피치리프팅, 안면지방이식
진피유착 쌍꺼풀, 눈매교정, 앞트임, 눈밑지방재배치, 매부리코, 긴코성형, 회전광대축소술, 풀페이스 지방이식, 피치리프팅
진피유착 쌍꺼풀, 눈매교정, 앞트임, 윗트임
진피유착 쌍꺼풀, 눈매교정, 앞트임, 코너트임, 눈밑지방재배치, 매부리코, 짧은코, 절골
진피유착 쌍꺼풀, 눈매교정, 앞트임, 코너트임, 밑트임, 복코, 짧은코, 절골, 비주교정
진피유착 쌍꺼풀, 눈매교정, 짝눈교정
진피유착 쌍꺼풀, 눈매교정, 코너트임
진피유착 쌍꺼풀, 눈썹밑거상술, 하안검성형
진피유착 쌍꺼풀, 눈썹하거상
진피유착 쌍꺼풀, 눈썹하거상, 하안검
진피유착 쌍꺼풀, 앞트임
진피유착 쌍꺼풀, 앞트임, 윗트임
진피유착 쌍꺼풀, 윗트임
진피유착 쌍꺼풀, 코너트임
진피유착 쌍꺼풀, 코너트임, 눈매교정
진피유착 쌍꺼풀(재_풀림교정)
진피유착 쌍꺼풀(재)
진피유착 쌍꺼풀(재), 눈매교정
진피유착 쌍꺼풀(재), 눈매교정, 앞,윗트임
진피유착 쌍꺼풀(재), 뒷밑트임
진피유착 쌍꺼풀(재), 앞트임
진피유착 쌍꺼풀(재), 앞트임, 눈밑지방재배치
진피유착 쌍꺼풀(재), 코너트임
진피유착, 코너트임
짝눈교정 + 윗트임 + 절개쌍꺼풀 재수술
짧은코, 들린코, 복코
짧은코, 복코, 매부리코
짧은코, 복코, 콧볼축소
짧은코, 복코성형
짧은코, 비순각 교정, 콧볼축소
짧은코, 휜코
짧은코,기능코성형
짧은코(재수술), 찝힌코, 휜코, 비주교정
짧은코(재수술), 휜코
짧은코(재수술), 휜코, 비주교정, 콧볼축소
짧은코교정+복코교정
첫코성형
최소절개스마스거상
최소절개안면거상술(맥스리프팅)
침샘보톡스
코,무보형물,코끝(비중격)
코,무보형물,코끝(비중격),기능2종
코,무보형물,코끝(비중격),낮은코교정
코,무보형물,코끝(비중격),매부리교정,절골
코,무보형물,코끝(비중격),콧볼축소,콧망울축소,매부리교정...
코,실리콘,낮은코교정,필러제거
코,실리콘,코끝(귀연골),매부리교정,연골묶기
코,실리콘,코끝(기증늑),짧은코교정
코,실리콘,코끝(비중격,귀연골),콧볼축소,매부리교정,긴코교정...
코,실리콘,코끝(비중격)
코,실리콘,코끝(비중격),기능2종
코,실리콘,코끝(비중격),낮은코교정
코,실리콘,코끝(비중격),매무리코교정,낮은코교정,긴코교정...
코,실리콘,코끝(비중격),매부리교정
코,실리콘,코끝(비중격),매부리교정,낮은코교정...
코,실리콘,코끝(비중격),매부리교정,절골
코,실리콘,코끝(비중격),짧은코교정
코,실리콘,코끝(비중격),콧볼축소,절골
코(재수술)
코(재수술),실리콘교체,코끝(기증늑),짧은코교정...
코(재수술),실리콘교체,코끝(비중격,기증늑)
코(재수술),실리콘교체,코끝(자가늑),구축코교정...
코(콧대, 코끝)
코(콧대, 코끝), 매부리
코(콧대, 코끝), 매부리, 복코
코(콧대, 코끝), 매부리, 복코, 짧은코
코(콧대, 코끝), 매부리, 비너스레이저
코(콧대, 코끝), 매부리, 사각턱
코(콧대, 코끝), 매부리, 사각턱, 앞턱, 피질절골
코(콧대, 코끝), 매부리, 절골
코(콧대, 코끝), 매부리, 절골, 사각턱, 광대, 앞턱, 피질절골
코(콧대, 코끝), 매부리, 절골, 콧볼축소(절개)
코(콧대, 코끝), 매부리, 짧은코
코(콧대, 코끝), 매부리, 짧은코, 복코
코(콧대, 코끝), 매부리, 코뼈축소
코(콧대, 코끝), 매부리, 코뼈축소, 복코, 광대, 사각턱, 앞턱, 피질절골, 지방이식(앞볼, 팔자, 이마, 관자)
코(콧대, 코끝), 매부리, 코뼈축소, 사각턱, 광대, 앞턱
코(콧대, 코끝), 매부리, 콧볼축소(비절개)
코(콧대, 코끝), 매부리, 콧볼축소(절개)
코(콧대, 코끝), 매부리, 풀페이스지방이식
코(콧대, 코끝), 매부리, 화살코
코(콧대, 코끝), 매부리, 화살코, 광대, 풀페지방이식
코(콧대, 코끝), 매부리, 화살코, 귀연골, 비중격연골, 실리콘(6mm)
코(콧대, 코끝), 매부리, 휜코, 코뼈축소
코(콧대, 코끝), 매부리, 휜코, 코뼈축소, 콧볼축소(절개)
코(콧대, 코끝), 매부리, 휜코, 화살코, 두피근막
코(콧대, 코끝), 매부리코, 비중격, 귀연골, 실리콘(4mm), 앞턱보형물
코(콧대, 코끝), 복코
코(콧대, 코끝), 복코, 비주내리기, 콧볼축소(절개), 자가늑연골
코(콧대, 코끝), 복코, 콧볼축소(절개), 귀연골, 비중격, 실리콘(4.5mm)
코(콧대, 코끝), 비중격, 두피근막
코(콧대, 코끝), 실리프팅
코(콧대, 코끝), 절골
코(콧대, 코끝), 절골, 매부리, 휜코
코(콧대, 코끝), 코뼈축소
코(콧대, 코끝), 코뼈축소, 매부리코, 복코, 귀연골, 비중격
코(콧대, 코끝), 코뼈축소, 매부리코, 복코, 비중격, 귀연골, 실리콘(4mm)
코(콧대, 코끝), 코뼈축소, 매부리코, 복코, 실리콘(5mm), 필러녹이기
코(콧대, 코끝), 코뼈축소, 매부리코, 복코, 콧볼축소(절개), 비중격, 기증늑연골
코(콧대, 코끝), 코뼈축소, 매부리코, 화살코, 무보형물, 비중격, 귀연골
코(콧대, 코끝), 코뼈축소, 매부리코, 화살코, 복코, 귀연골, 비중격, 실리콘(4mm)
코(콧대, 코끝), 코뼈축소, 매부리코, 화살코, 복코, 귀연골, 비중격, 자가진피(두피근막)
코(콧대, 코끝), 코뼈축소, 복코
코(콧대, 코끝), 코뼈축소, 복코, 짧은코, 비중격연골
코(콧대, 코끝), 코뼈축소, 복코, 콧볼축소(절개), 비중격, 귀연골, 자가늑연골, 실리콘(3mm)
코(콧대, 코끝), 코뼈축소, 짧은코, 귀연골, 비중격, 기증늑연골, 실리콘(3.5mm)
코(콧대, 코끝), 코뼈축소, 짧은코, 비중격, 귀연골, 실리콘(3.5mm)
코(콧대, 코끝), 콧볼축소(비절개)
코(콧대, 코끝), 콧볼축소(절개), 매부리, 코뼈축소
코(콧대, 코끝), 화살코, 매부리, 비공내리기, 하비갑개, 두피근막, 콧볼축소(절개), 무보형물
코(콧대, 코끝), 화살코, 복코, 귀연골, 비중격, 실리콘(4.5mm), 앞턱
코(콧대, 코끝), 화살코, 복코, 매부리, 코뼈축소
코(콧대, 코끝), 화살코, 코뼈축소, 사각턱, 앞턱, 피질절골
코(콧대, 코끝), 휜코
코(콧대, 코끝), 휜코, 코뼈축소
코(콧대, 코끝), 휜코, 코뼈축소, 짧은코, 자가늑연골, 귀연골, 실리콘(4mm)
코(콧대, 코끝)재수술
코(콧대, 코끝)재수술, 두피근막, 기증늑연골
코(콧대, 코끝)재수술, 매부리
코(콧대, 코끝)재수술, 매부리, 절골
코(콧대, 코끝)재수술, 복코, 비주내리기, 비중격, 귀연골, 실리콘(3.5mm)
코(콧대, 코끝)재수술, 복코, 화살코, 비공내리기, 비중격, 귀연골, 귀족수술
코(콧대, 코끝)재수술, 비너스레이저
코(콧대, 코끝)재수술, 사각턱, 광대, 앞턱, 피질절골
코(콧대, 코끝)재수술, 사각턱, 앞턱, 비너스레이저
코(콧대, 코끝)재수술, 지방이식(이마, 앞턱)
코(콧대, 코끝)재수술, 코뼈축소, 매부리, 휜코, 복코, 자가늑연골, 울쎄라, v라인보톡스
코(콧대, 코끝)재수술, 코뼈축소, 콧볼축소(절개)
코(콧대, 코끝)재수술, 콧볼축소(절개)
코(콧대, 코끝)재수술, 풀페이스지방이식, 비너스레이저
코(콧대, 코끝)재수술, 휜코, 매부리, 코뼈축소, 기증늑연골, 광대, 사각턱, 앞턱, 피질절골, 지방이식(이마)
코(콧대, 코끝)재수술, 휜코, 복코, 기증늑연골, 실리콘
코(콧대, 코끝)재수술, 휜코, 비주내리기, 절골, 기증늑연골
코(콧대,코끝), 매부리코, 비공내리기, 콧볼축소(콧날개올리기)
코(콧대,코끝),매부리코,복코,비중격연골,귀연골,실리콘(4mm)
코(콧대,코끝),휜코,매부리코,복코,귀연골,알로덤,실리콘(4.5mm)
코(콧대,코끝)재수술, 비공내리기
코끝, 매부리
코끝, 코뼈축소, 매부리
코끝, 코뼈축소, 지방이식(눈밑), 하트실리프팅, 앞턱
코끝, 콧볼축소(절개)
코끝, 화살코, 비중격
코끝성형
코끝성형, 콧볼축소
코끝수술, 매부리교정
코끝수술, 매부리교정, 절골
코끝수술, 콧볼축소, 복코
코너트임
코성형
코성형 기본코
코성형 기본코+비염미용코
코성형 기증늑연골
코성형 매부리코
코성형 매부리코+복코교정
코성형 매부리코+짧은코교정
코성형 매부리코+콧볼축소+복코교정
코성형 복코교정
코성형 복코교정+매부리코
코성형 복코교정+비염미용코
코성형 복코교정+비염코성형
코성형 복코교정+짧은코교정
코성형 복코교정+짧은코교정+매부리코
코성형 복코교정+콧볼축소
코성형 비염미용코
코성형 비염미용코+짧은코교정
코성형 재수술+비염미용코
코성형 재수술+짧은코교정
코성형 재수술+콧볼축소
코성형 절골+매부리코
코성형 짧은코교정+복코교정
코성형 코재수술
코성형 코재수술+복코교정
코성형 코재수술+복코교정+콧볼축소
코성형 코재수술+콧볼축소+복코교정
코성형 콧볼축소
코성형 콧볼축소+짧은코교정+복코교정
코성형 휜코교정
코성형 휜코교정+콧볼축소
코성형, 기능코, 복코교정
코성형, 기능코성형
코성형, 기증늑추가, 넓은코교정(절골)
코성형, 넓은코교정, 절골
코성형, 넓은코교정, 절골, 기능코
코성형, 넓은코교정, 절골, 기능코성형
코성형, 넓은코교정(절골술)
코성형, 매부리교정, 기능코성형
코성형, 매부리코 교정
코성형, 매부리코 교정, 기능코성형
코성형, 매부리코 교정, 넓은코교정(절골술)
코성형, 매부리코교정
코성형, 매부리코교정, 넓은코교정
코성형, 매부리코교정, 절골
코성형, 복코교정
코성형, 복코교정, 기능코성형
코성형, 복코교정, 기능코성형, 매부리교정
코성형, 복코교정, 매부리교정
코성형, 복코교정, 매부리코교정
코성형, 복코교정, 콧볼축소
코성형, 복코성형
코성형, 복코성형, 짧은코교정
코성형, 절골
코성형, 절골, 매부리코교정, 화살코교정
코성형, 절골, 복코교
코성형, 짧은코교정
코성형, 짧은코교정, 기능코성형
코성형, 코재수술
코성형, 콧볼교정
코성형, 콧볼축소
코성형, 콧볼축소, 복코교정
코성형[콧대+코끝)
코성형[콧대+코끝]
코재수술
코재수술 (복코, 비순각 교정, 휜코, 자가늑연골)
코재수술 (휜코, 긴코, 비순각 교정)
코재수술, 기능늑연골
코재수술, 기능코성형
코재수술, 기증늑연골
코재수술, 기증늑연골, 매부리교정
코재수술, 들린코교정
코재수술, 매부리코 교정, 복코 교정
코재수술, 무보형물코성형, 매부리코교정, 휜코교정
코재수술, 비공내리기
코재수술, 안면거상술. 상안검, 하안검
코재수술, 앞트임복원
코재수술, 자가늑연골
코재수술, 자가늑연골, 절골, 구축코
코재수술, 자가늑연골, 콧볼축소, 하비갑개, 비중격만곡증, 비밸브술
코재수술, 자가늑연골, 하비갑개
코재수술, 자가늑연골. 광대축소
코재수술, 짧은코교정
코재수술, 콧볼축소
코재수술, 휜코, 콧볼축소, 자가늑연골
코재수술(복코, 긴코, 용코)
코재수술(복코, 매부리코)
코재수술(복코, 휜코, 비주교정)
코재수술(엉덩이 진피), 비공내리기
코재수술(짧은코, 복코, 비주교정)
코재수술(짧은코, 복코, 콧볼축소, 비주교정)
코재수술(짧은코, 휜코, 비주교정)
코재수술(짧은코, 휜코)
코재수술(찝힌코, 휜코, 비주성형)
코재수술+축비술+짧은코교정+복코교정
코재수술+콧볼축소+복코교정
콜라겐 부스터(라폴렌)
콧대
콧대+코끝
콧대+코끝(연골 재배치)
콧대+코끝+매부리코+광대축소
콧대+코끝+무턱
콧볼축소
콧볼축소 재수술
콧볼축소, 콧볼거상
클라리티
터닝광대축소 + 아큐스컬프
턱끝 필러
턱끝성형+눈성형+코성형+지방이식(이마)
턱끝축소, 사각턱축소
턱끝축소술
턱라인지방흡입, 실리프팅, 필러
턱보톡스, 무턱필러, 눈썹올림술
퇴축수술
파셀라 리프팅
파셀라리프팅, 핏주사, 바디라인 슈링크
팔 지방흡이
팔 지방흡입
팔뚝 지방흡입
팔성형
팔자주름 리프팅(레디어스)
팔자주름 리프팅(온다)
팔자주름+심부볼 리프팅(레디어스)
팔자지방이식
팔자필러
팔지방흡입
풀 미니리프팅+아큐스컬프
풀미니리프팅+연조직윤곽술
풀미니리프팅+하안검
풀안면거상술
풀안면거상술+아큐스컬프(턱선)
풀안면거상술+엔도타인리프팅
풀안면거상술+지방이식
풀안면거상술+하안검
풀안면거상술+하안검수술
풀안면리프팅+목리프팅
풀안면리프팅+목리프팅+아큐리프팅
풀안면리프팅+아큐리프팅
풀페이스 안면거상
풀페이스 안면거상, 광대축소술, 턱끝축소술
풀페이스 안면거상, 사각턱축소
풀페이스 안면거상, 이마거상
풀페이스 안면거상, 이마거상, 광대축소술, 긴곡선사각턱, 피질절골술, 턱끝축소술, 턱끝전진술
풀페이스 지방이식
풀페이스지방이식
풀페이스지방이식+미니리프팅+입술필러
풀페이스지방이식+아큐스컬프
피치 리프팅, 브이 리프팅, 팔자 필러
피치 리프팅, 턱라인 리프팅
피치 리프팅, 팔자 필러
피치리프팅
피치리프팅, 브이라인 리프팅
피치리프팅, 브이라인 리프팅, 미니리프팅
피치리프팅, 브이라인 리프팅, 이중턱 리프팅
피치리프팅, 브이라인 리프팅, 쥬베룩 볼륨
피치리프팅, 브이리프팅, 이중턱 근육묶기, 이중턱 지방흡입, 턱끝 필러
피치리프팅, 브이실루엣 리프팅
피치리프팅, 턱선리프팅
피치리프팅, 팔자필러
피치실루엣 리프팅
피치실루엣 브이라인리프팅
피치실루엣, 브이라인 리프팅
피치실루엣, 브이라인 실루엣리프팅
피치실루엣, 브이라인리프팅
피치실루엣,브이라인 리프팅
피코슈어(문신제거)
필러(눈썹위, 앞볼, 팔자, 앞턱, 입술, 콧대, 이마)
필러(이마+팔자+옆볼)+리쥬란힐러 2cc
하악/앞니 부분 / 3개이하 / 뼈이식
하악/앞니 부분 / 3개이하 / 뼈이식|고혈압
하악/앞니 부분 / 3개이하 / 뼈이식|수면
하악/앞니 부분 / 3개이하 / 뼈이식|수면|고혈압
하악/앞니 부분 / 3개이하 / 뼈이식|수면|고혈압|당뇨
하악/앞니 부분 / 3개이하 / 뼈이식|수면|당뇨
하악/앞니 부분 / 3개이하 / 뼈이식|아스피린
하악/앞니 부분 / 4개이상 / 고혈압
하악/앞니 부분 / 4개이상 / 뼈이식
하악/앞니 부분 / 4개이상 / 뼈이식|수면
하악/앞니 부분 / 4개이상 / 뼈이식|수면|고혈압
하악/앞니 부분 / 4개이상 / 뼈이식|수면|고혈압|당뇨
하악/앞니 부분 / 4개이상 / 뼈이식|수면|고혈압|당뇨|아스피린
하악/어금니 부분 / 3개이하 / 뼈이식
하악/어금니 부분 / 3개이하 / 뼈이식|고혈압
하악/어금니 부분 / 3개이하 / 뼈이식|고혈압|당뇨
하악/어금니 부분 / 3개이하 / 뼈이식|수면
하악/어금니 부분 / 3개이하 / 뼈이식|수면|고혈압
하악/어금니 부분 / 3개이하 / 뼈이식|수면|고혈압|당뇨|아스피린
하악/어금니 부분 / 3개이하 / 뼈이식|수면|당뇨
하악/어금니 부분 / 3개이하 / 뼈이식|아스피린
하악/어금니 부분 / 4개이상 / 뼈이식
하악/어금니 부분 / 4개이상 / 뼈이식|고혈압
하악/어금니 부분 / 4개이상 / 뼈이식|수면
하악/어금니 부분 / 4개이상 / 뼈이식|수면|고혈압
하악/어금니 부분 / 4개이상 / 뼈이식|수면|고혈압|당뇨
하악/어금니 부분 / 4개이상 / 뼈이식|수면|아스피린
하악/전체 / 뼈이식
하악/전체 / 뼈이식|고혈압
하악/전체 / 뼈이식|수면
하악/전체 / 뼈이식|수면|고혈압
하악/전체 / 뼈이식|수면|당뇨
하안검
하안검 눈썹거상술 눈밑지방재배치
하안검, 눈밑지방재배치, 중안면거상
하안검, 눈썹거상술
하안검, 눈썹밑거상
하안검, 눈썹밑거상, 앞트임
하안검, 눈썹밑거상, 중안면거상술, 안면거상술, 지방이식(풀페이스), 보톡스(미간), 프락셀, pdrn주사, ddr
하안검, 눈썹밑거상, 지방이식(눈밑), 보톡스(눈가)
하안검, 눈썹밑거상(지방제거)
하안검, 앞광대 지방이식
하안검, 앞광대지방이식
하안검, 이마거상(실고정)
하안검, 중안면거상
하안검, 중안면거상, 눈밑지방재배치
하안검, 지방이식(눈밑)
하안검,눈썹거상술
하안검,안검내반,외안각고정술
하안검,지방이식(앞광대)
하안검+눈밑지방제거
하안검+눈밑지방제거+재배치
하안검+눈썹하거상
하안검+눈썹하거상술
하안검+상안검
하안검+쌍꺼풀절개(재)
하안검거상+눈썹하거상
하안검성형
하안검성형, 눈썹밑거상
하안검재수술
하안검재수술, 눈썹밑거상
하안검재수술, 눈썹밑거상, 지방이식(눈밑)
하안검재수술, 지방이식(앞볼, 팔자), 부분절개거상술
하안검지방제거
함몰유두
허벅지 성형
허벅지 지방흡입
허벅지성형
허벅지지방흡입
화이트닝 프로그램
휜 코, 기능코, 콧볼축소
휜코교정술 , 매부리코 , 융비술(콧대+코끝)
힙딥필러
힙업리프팅(에피티콘+지방흡입)
힙업리프팅(에피티콘+지방흡입+지방이식)
힙업리프팅(에피티콘+지방흡입+지방이식+필러)
힙업리프팅(에피티콘+지방흡입+지방이식+힙업필러)
힙업리프팅(에피티콘+지방흡입+필러)
힙필러
전체 병원
DA성형외과의원
강남서연성형외과의원
나나성형외과
땡큐성형외과의원
리엔장성형외과의원
멜론성형외과
베리굿성형외과
뷰티블라썸의원
에이탑성형외과의원
에이펙스성형외과의원
올로성형외과의원
올리팅성형외과의원
원더풀성형외과의원
원데이치과의원
원트성형외과
위버스성형외과의원
제이준성형외과
허쉬성형외과의원
Before
After
쌍꺼풀(매몰)
쌍꺼풀(매몰)
Before
After
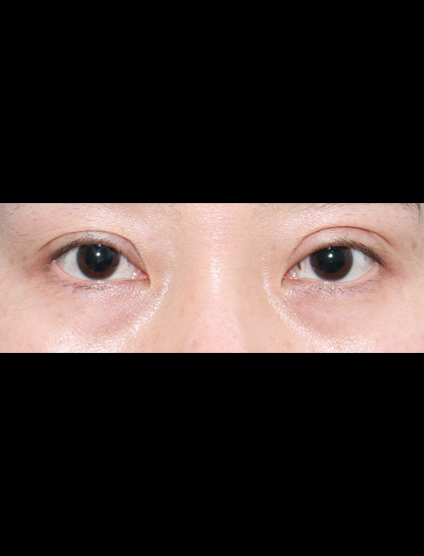
눈매교정(비절개)재수술, 앞트임재수술
눈매교정(비절개)재수술, 앞트임재수술
Before
After
위버스성형외과의원
입술 필러
입술 필러
Before
After
위버스성형외과의원
진피유착 쌍꺼풀, 윗트임
진피유착 쌍꺼풀, 윗트임
Before
After
위버스성형외과의원
자가늑코성형(재수술), 짧은코, 비순각 교정
자가늑코성형(재수술), 짧은코, 비순각 교정
Before
After
위버스성형외과의원
절개 쌍꺼풀(재_꺼진눈교정), 눈매교정, 눈 위 지방이식
절개 쌍꺼풀(재_꺼진눈교정), 눈매교정, 눈 위 지방이식
Before
After
강남서연성형외과의원
남자 절개쌍꺼풀
강남서연성형외과 남자 절개쌍꺼풀
Before
After
위버스성형외과의원
이마거상 (엔도타인)
이마거상 (엔도타인)
Before
After
위버스성형외과의원
진피유착 쌍꺼풀, 눈매교정, 45도 앞윗트임, 코너트임
진피유착 쌍꺼풀, 눈매교정, 45도 앞윗트임, 코너트임
168
169
170
171
172
현재 보고 있는 사람:
홈
검색
성형 체험
찜목록
메시지
마이
인기 키워드
성형외과
피부과
치과
보톡스
필러