[눈] 마이멜로스 - 눈,코
<후>
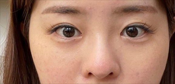
<전>
눈 코 수술하고 사람들의 시선이 달라졌어요 ㅠㅠ
수술 전에는 약간 동글동글한 인상이었고 제가 추구하는 미적인 얼굴이 아니어서
거울 볼 때마다 좀 변하고 싶다는 생각이 강했어요 ㅠㅠ
주변에서도 참견러들이 넘 많아서 뭐만하면 괜찮겠거니~ 하는 사람들도 꽤나 있어서
스트레스 받아서 수술 받고싶었는데 수술 받고는 주변 시선도 많이 달라지고 얼굴도 세련되어보여서 마음에 들어요..ㅎㅎ
참고로 눈은 재수술 한거고 코는 첫수술이에요
수술 전엔 본판이 이러니 크게 안변하겠지 싶었는데, 본판을 떠나서
니즈파악 제대로 해주고 실력 좋은 병원에서 받아야 잘되는것도 있는거같아요 ㅎㅎ
자연스럽게 이뻐지고싶다고 말씀 드렸는데 완전 자연스럽게 잘해주셨어요!
조금 가격대가 있는거같긴 했지만 그래도 유명하고 잘해주는곳에서 수술받고
성공까지해서 너무 기분 좋습니다ㅎㅎ
<전>
눈 코 수술하고 사람들의 시선이 달라졌어요 ㅠㅠ
수술 전에는 약간 동글동글한 인상이었고 제가 추구하는 미적인 얼굴이 아니어서
거울 볼 때마다 좀 변하고 싶다는 생각이 강했어요 ㅠㅠ
주변에서도 참견러들이 넘 많아서 뭐만하면 괜찮겠거니~ 하는 사람들도 꽤나 있어서
스트레스 받아서 수술 받고싶었는데 수술 받고는 주변 시선도 많이 달라지고 얼굴도 세련되어보여서 마음에 들어요..ㅎㅎ
참고로 눈은 재수술 한거고 코는 첫수술이에요
수술 전엔 본판이 이러니 크게 안변하겠지 싶었는데, 본판을 떠나서
니즈파악 제대로 해주고 실력 좋은 병원에서 받아야 잘되는것도 있는거같아요 ㅎㅎ
자연스럽게 이뻐지고싶다고 말씀 드렸는데 완전 자연스럽게 잘해주셨어요!
조금 가격대가 있는거같긴 했지만 그래도 유명하고 잘해주는곳에서 수술받고
성공까지해서 너무 기분 좋습니다ㅎㅎ